2022.10.01
適切なメンテナンスの期間を知...
| 診療時間 | 月 | 火 | 水 | 木 | 金 | 土 | 日 |
|---|---|---|---|---|---|---|---|
| 9:30~18:00 | ● | ● | × | ● | ● | ● | × |
2016-11-30
歯周病専門治療
やった後悔より、やらなかった後悔の方が大きく残る
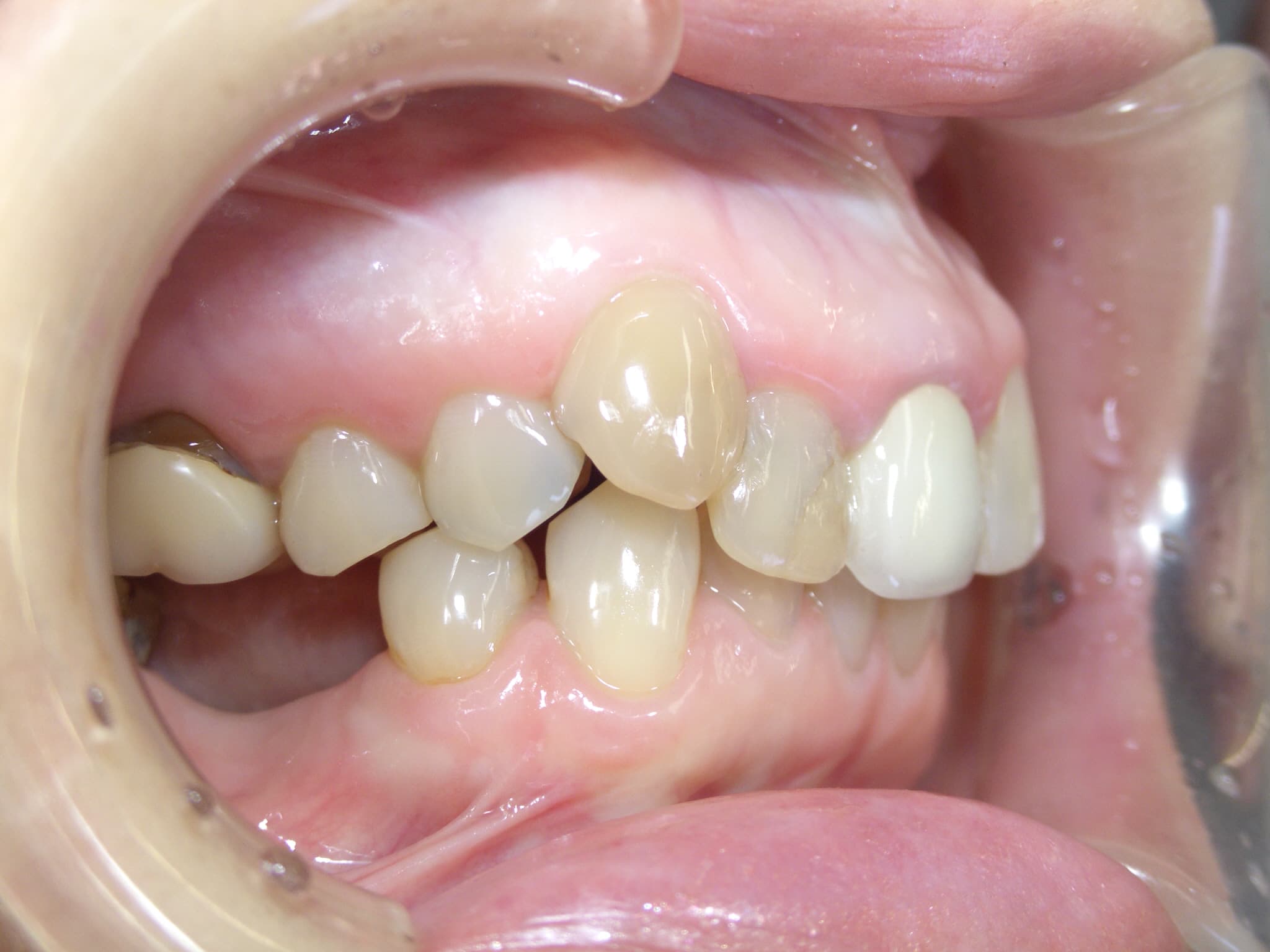
こんにちは。歯科衛生士の山崎です。 メンテナンスに移行して今年で7年目になる70代の女性の方です。 一度治療が終わると、ほとんどの方が安心して歯科医院へ足が向かなくなります。 しかし、大きな治療(写真…
続きを読む
2016-11-29
歯周病専門治療
納得のいく治療を受けたい!
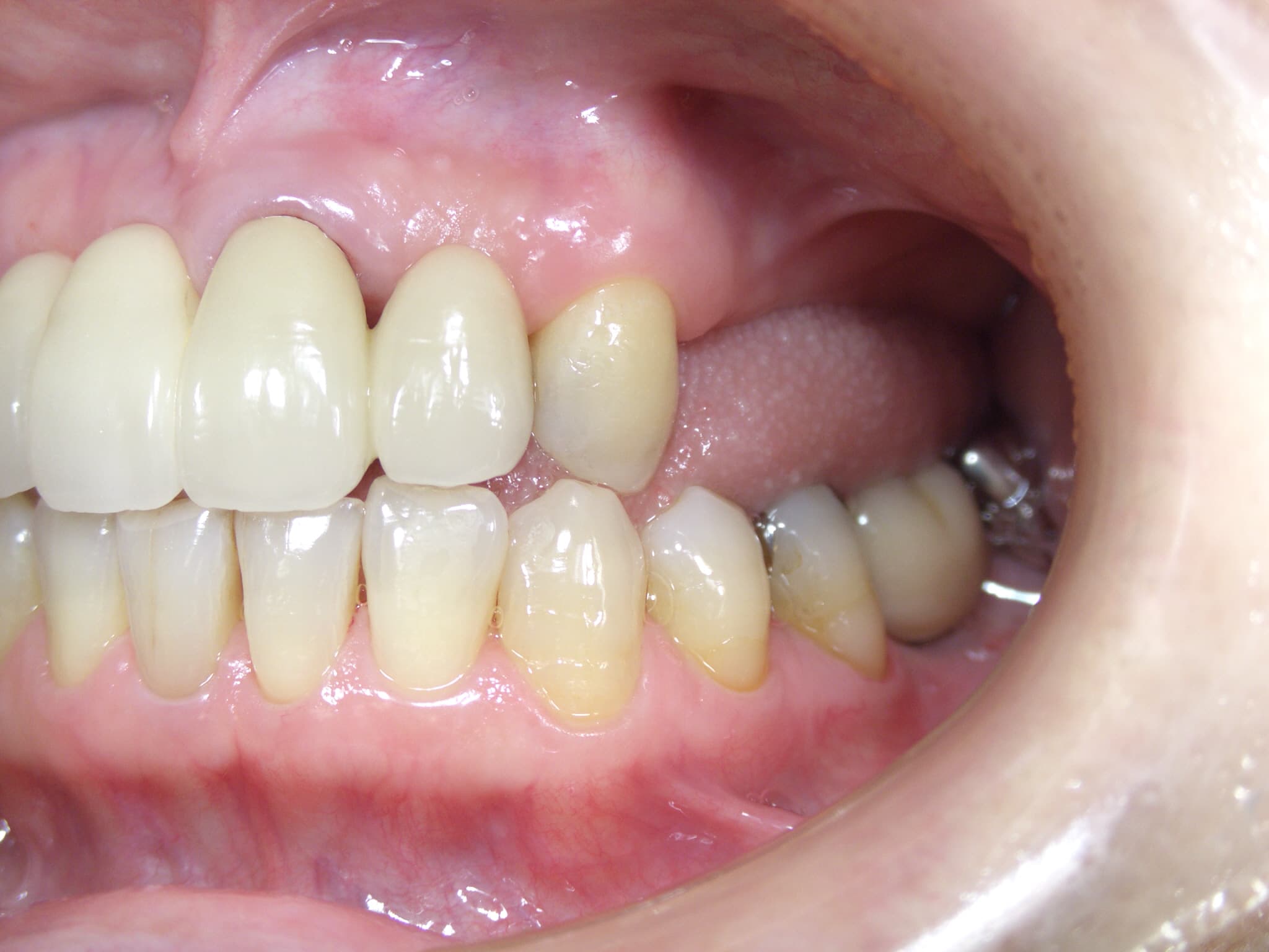
歯科衛生士の山崎です。 40代の女性の方の症例をご紹介します。 自分が納得できる治療を受けたいと、遠方よりお越しいただいています。 今まで、結婚、子育て、仕事と、自分の為に使える時間が少なく、 すぐに…
続きを読む
2016-11-29
患者様の声
【インプラント治療を受けられた方の声】 治療したことを忘れるくらい自然!
【インプラント治療を受けられた方の声】 D・H様 男性 ▸ なぜ、インプラント治療を受けようと思われましたか? 昔治療した歯の状態が良くなかったので、周りの歯や将来的なことを考えて今、しっかり治療し…
続きを読む
2016-11-28
患者様の声
【インプラント治療を受けられた方の声】 本来の自分の歯のよう!
【インプラント治療を受けられた方の声】 Y・M様 女性 ▸ なぜ、インプラント治療を受けようと思われましたか? 前の歯科医院で作った入れ歯にどうしてもなじめなかったため。 ▸ 「インプ…
続きを読む
2016-11-18
歯周病専門治療
歯科ドックと歯周病専門治療 30代 女性
こんにちは。衛生士の山崎です。 数本の銀歯と2次虫歯、初期歯周病が認められました。 ご結婚を控えているということで、虫歯の治療は専門治療をご希望されました。 歯周病のほうは、初期ということもあり自覚症…
続きを読む
