2022.10.01
適切なメンテナンスの期間を知...
| 診療時間 | 月 | 火 | 水 | 木 | 金 | 土 | 日 |
|---|---|---|---|---|---|---|---|
| 9:30~18:00 | ● | ● | × | ● | ● | ● | × |
2017-03-04
歯周病専門治療
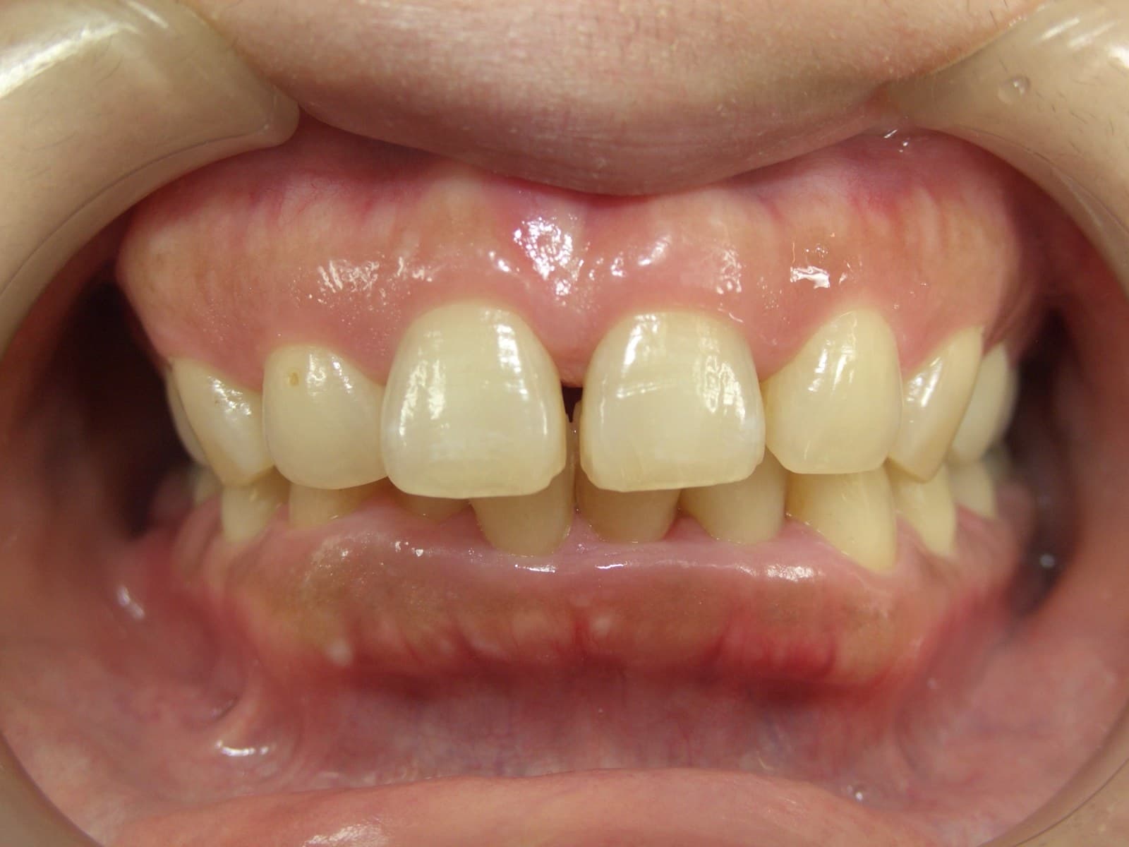
自分の健康を気遣うということ
こんにちは。歯科衛生士の山崎です。 今回ご紹介するのは、40代女性の方です。 歯肉の腫れ、出血、そして口臭が気になり来院されました。 職業上、大変不規則になり易く自分の事に時間を使う余裕が殆どありませ…
続きを読む
2017-01-27
歯周病専門治療
歯周病かもしれない・・・
こんにちは。歯科衛生士の山崎です。 今回は県内の遠方から来院してくださった、20代男性のご紹介です。 来院のきっかけは、テレビを見て自分も歯周病かもしれないと感じたことだったそうです。 …
続きを読む
2017-01-24
オールセラミック
精度の高いかぶせ物を製作するために必要なこと
こんにちは。南館歯科クリニックの木村です。 適合が良く、虫歯の再発リスクが少ない精度の高いかぶせ物を製作するにあたり、大切なことの一つに、型どりがあります。 マイクロスコープを使用し丁寧…
続きを読む
2017-01-13
患者様の声
【インプラント治療を受けられた方の声】 問題なく噛めています!
【インプラント治療を受けられた方の声】 W・J様 男性 ▸ なぜ、インプラント治療を受けようと思われましたか? 奥の歯で選択肢が無かった。 ▸ 「インプラント治療を受けて良かった!」と…
続きを読む
2017-01-05
歯周病専門治療
歯科ドック 自分のニオイは大丈夫?
こんにちは。歯科衛生士の山崎です。 突然ですが、皆さんの「口臭」は迷惑になっていませんか? 自分の体のニオイには、なかなか気づけないものです。 当院では高性能な口臭測定器を導入して、口臭の原因と、どの…
続きを読む
