2022.10.01
適切なメンテナンスの期間を知...
| 診療時間 | 月 | 火 | 水 | 木 | 金 | 土 | 日 |
|---|---|---|---|---|---|---|---|
| 9:30~18:00 | ● | ● | × | ● | ● | ● | × |
2016-12-26
患者様の声
【歯周病専門治療を受けられた方の声】 思ったらすぐ治療!
【歯周病専門治療を受けられた方の声】 H・T様 50代 女性 ▸ なぜ、歯周病専門治療を受けようと思われましたか? 4、5年前から”変だ変だ”と思っていました。口臭も気になりましたし・・・。でも信頼で…
続きを読む
2016-12-26
患者様の声
【歯周病専門治療を受けられた方の声】 臭いがしなくなった!
【歯周病専門治療を受けられた方の声】 A・H様 60代 男性 ▸ なぜ、歯周病専門治療を受けようと思われましたか? 歯がぐらぐらしてきたこととにおいがきついといわれたことから。 ▸ 「歯…
続きを読む
2016-12-26
歯周病専門治療
迷惑をかけていませんか
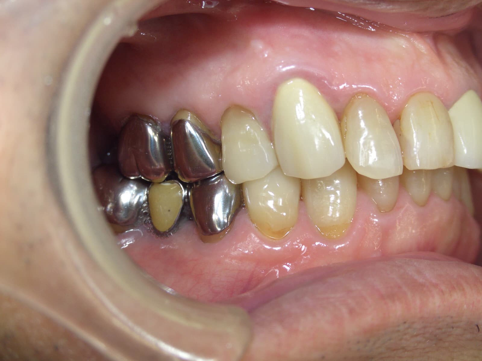
衛生士の山崎です。 今回の歯周専門治療のケースは、口臭や歯ぐきが下がってきたことが心配になり来院された、50代女性の方です。 職場の同僚と会話をするとき、口臭が気になる方がいて、自分にも口臭があるので…
続きを読む
2016-12-15
歯周病専門治療
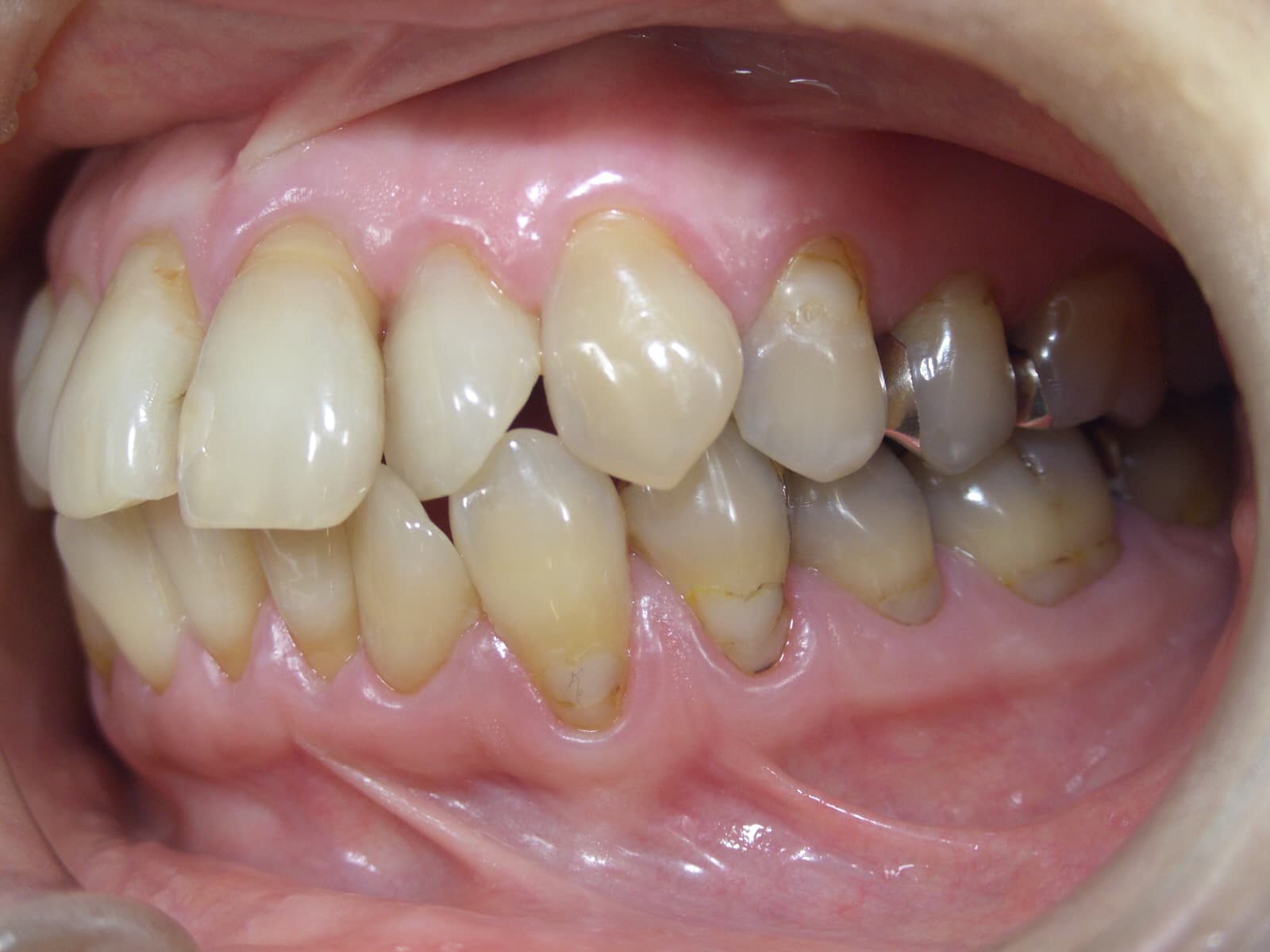
治療を受ける前に
こんにちは。衛生士の山崎です。 60代女性の方の症例をご紹介します。 銀歯や白い被せ物をしたところに違和感があるとのことでした。 何度も同じ歯の治療を繰り返しており、このままでは歯が無くなってしまうの…
続きを読む
2016-12-14
歯周病専門治療
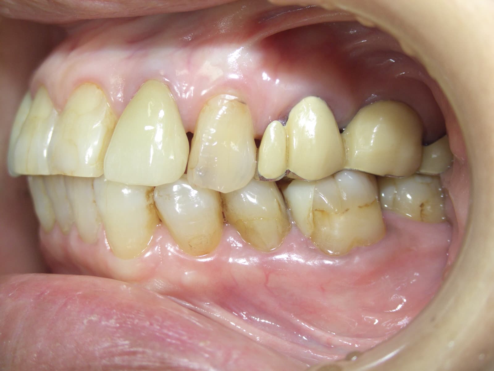
歯を抜かないで治療をしたい
衛生士の山崎です。 「歯を抜かないで治療をしたい」 殆どの方が歯科治療の際にご希望されるお気持ちではないでしょうか。 Sさんも、同じ思いで来院されました。 実は、ご家族が既に来院されてお…
続きを読む
