2022.10.01
適切なメンテナンスの期間を知...
| 診療時間 | 月 | 火 | 水 | 木 | 金 | 土 | 日 |
|---|---|---|---|---|---|---|---|
| 9:30~18:00 | ● | ● | × | ● | ● | ● | × |
2016-10-22
患者様の声
【インプラント治療を受けられた方の声】アンケート
【インプラント治療を受けられた方の声】 N・T様 男性 ▸ なぜ、インプラント治療を受けようと思われましたか? 長い目で考えたらインプラント治療が良いと思ったので。
続きを読む
2016-10-02
歯周病専門治療
自分が歯周病だとは・・・
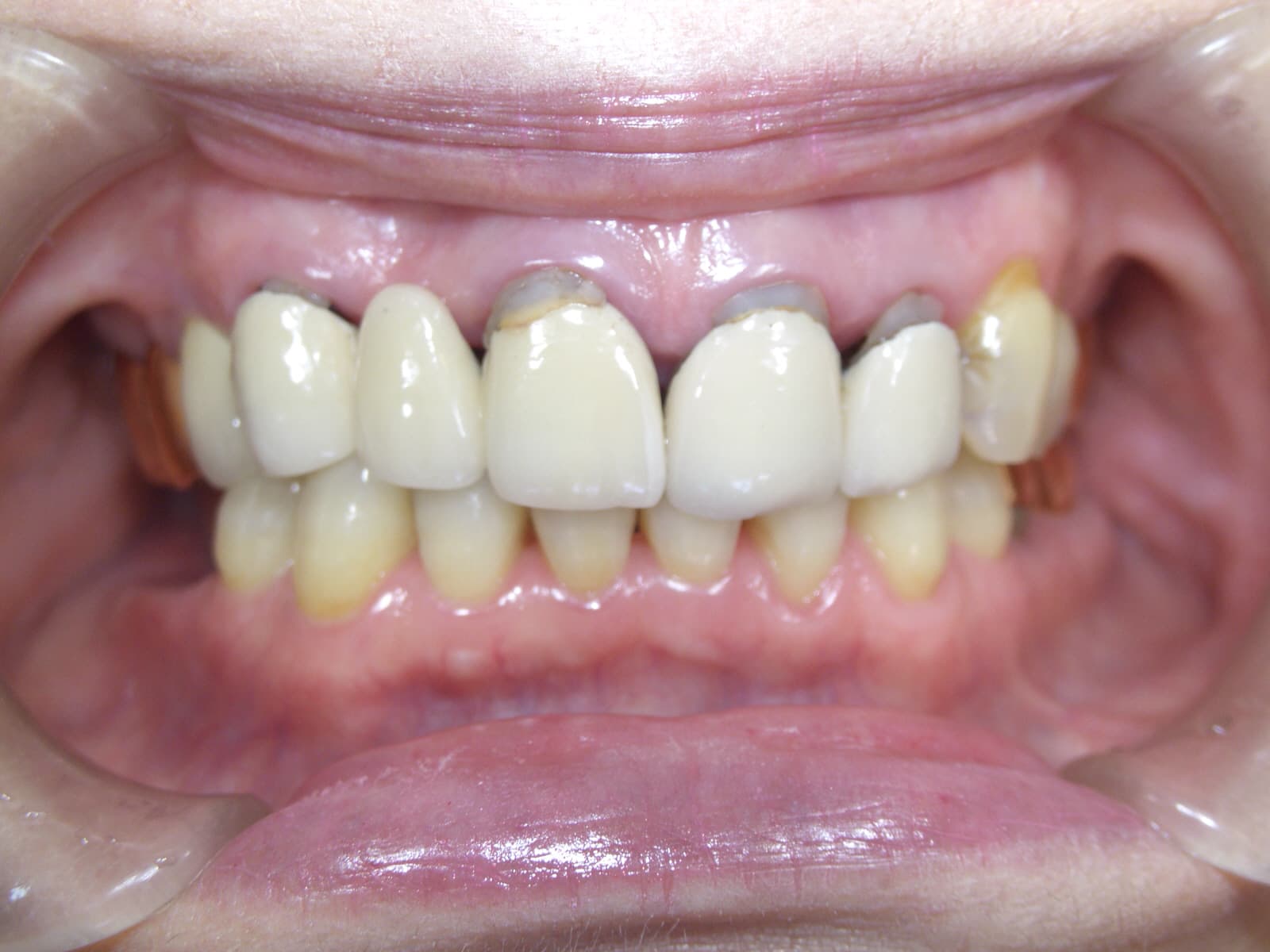
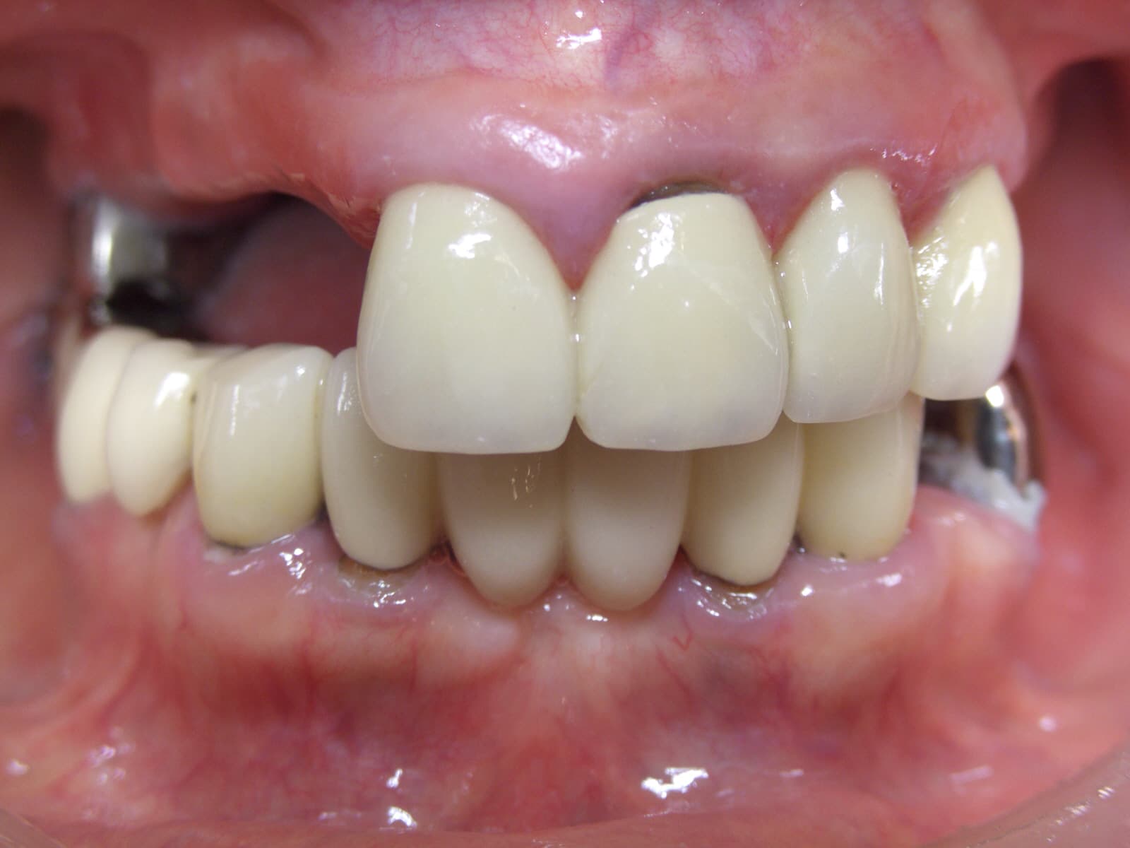
衛生士の山崎です。 20年前に治した前歯のブリッジを再治療をしたいと来院されました。 ブリッジ治療の後に、歯茎の際を覆う治療がしてあり、その周りが腫れているのも分かります。 まさかこんな…
続きを読む
2016-09-30
歯周病専門治療
自覚症状はほとんどありません
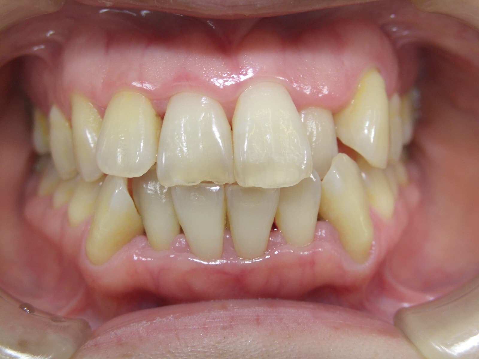
こんにちは。 歯科衛生士の山崎です。 歯周病治療の症例をご紹介します。 20代前半の女性です。 普通にしていると痛みは全くないのに、歯ブラシをする時、歯茎が「ムズムズ」して出血が時々あったそうです。 …
続きを読む
2016-09-29
歯周病専門治療
歯がグラグラして痛い・・・ 歯周病専門治療
こんにちは。 歯科衛生士の山崎です。 当院で歯周病専門治療を行ったケースです。 奥歯を失ったのは随分昔のことだそうです。 当時、入れ歯を作ったが、しばらくして入れ歯を入れる…
続きを読む
2016-09-28
患者様の声
【かぶせ物を受けられた方の声】アンケート
【かぶせ物・つめもの治療を受けられた方の声】 O・S様 30代 女性 ▸ なぜ、かぶせ物・つめもの治療を受けようと思われましたか? 大して金額が変わらないなら、良いものをと思った…
続きを読む
