2022.10.01
適切なメンテナンスの期間を知...
| 診療時間 | 月 | 火 | 水 | 木 | 金 | 土 | 日 |
|---|---|---|---|---|---|---|---|
| 9:30~18:00 | ● | ● | × | ● | ● | ● | × |
2016-09-26
歯周病専門治療
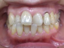
朝、枕に血が・・・
衛生士の山崎です。 歯周病専門治療をご紹介します。 朝起きると、枕に血がついていることがあり、 右上には強い痛みもある為来院されました。 お口の状態は、下の歯は全体的にポケ…
続きを読む
2016-09-25
歯周病専門治療
治療した歯を長く持たせたい 歯周病治療
こんにちは。 衛生士の山崎です。 歯周専門治療の症例をご紹介します。 30代女性の方です。 オールセラミックの被せ物をした後、 長く良い状態でお使いいただくために、 歯周病専門治療を行いました。 &n…
続きを読む
2016-09-24
歯周病専門治療
歯周病専門治療 侵襲性歯周炎
こんにちは。 歯科衛生士の山崎です。 今回ご紹介するのは、 侵襲性歯周炎 (Aggressive Periodontitis)の患者さんです。 主な症状は、右上の噛ん…
続きを読む
2016-09-24
歯周病専門治療
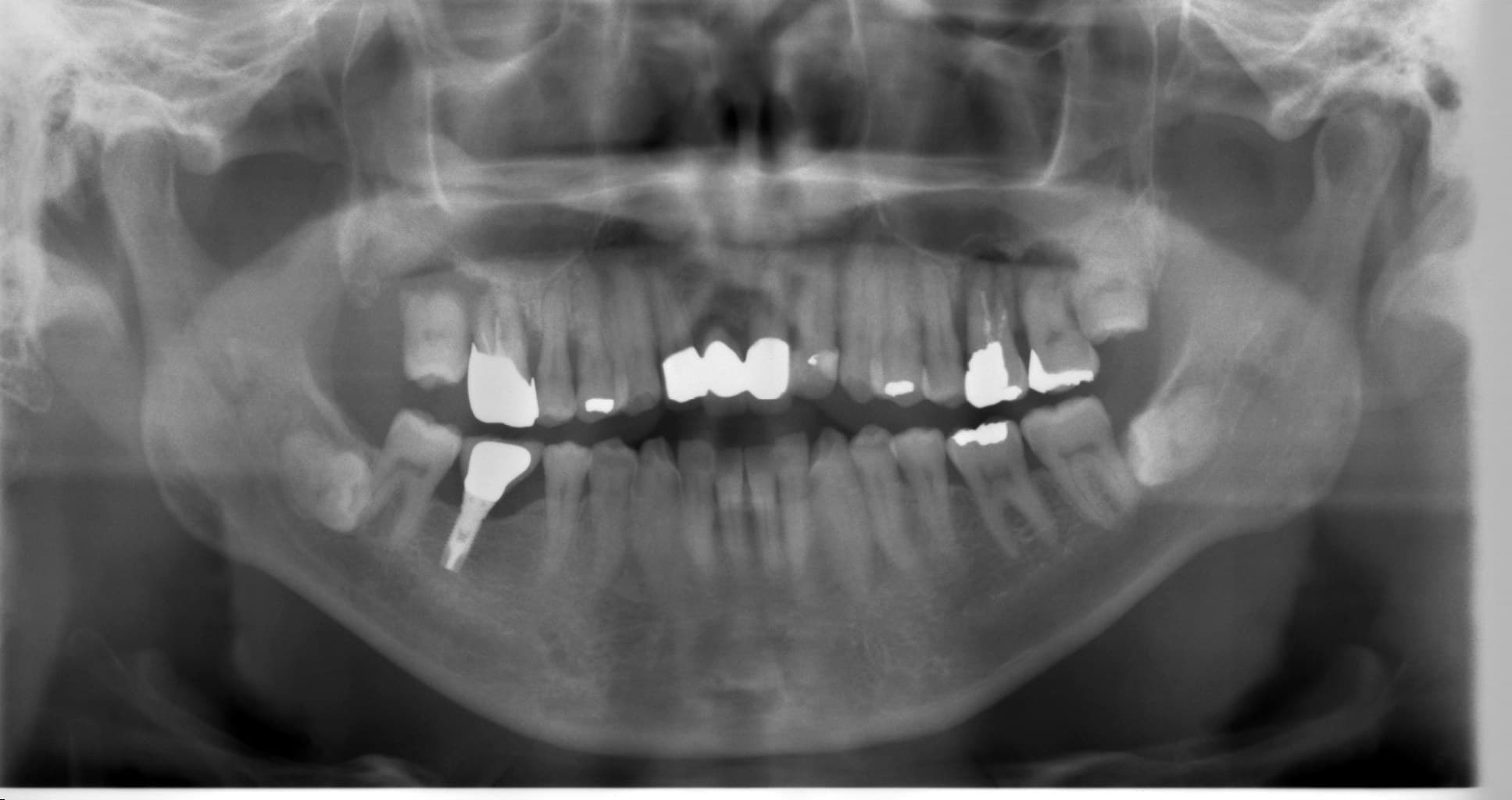
マイクロスコープと歯周病専門治療
こんにちは。 歯科衛生士の山崎です。 今回は、歯周病専門治療の中でもデブライトメント(簡単にいうと歯石の除去)の様子をご紹介します。 50代女性の方で、最近まで定期健診を3年間ほど受けてこられたとのこ…
続きを読む
2016-09-24
歯周病専門治療
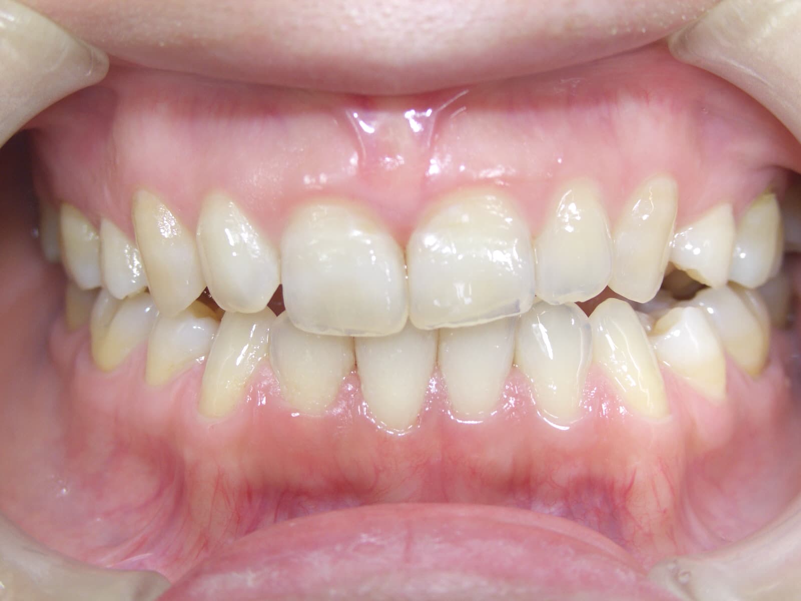
口臭と歯周病
こんにちは! 歯科衛生士の山崎です。 本日も歯周専門治療のご紹介をしていきたいと思います。 治療前 治療前、ご本人に歯周病の自覚がありませんでしたので、実際の口腔内写真と…
続きを読む
