| 診療時間 | 月 | 火 | 水 | 木 | 金 | 土 | 日 |
|---|---|---|---|---|---|---|---|
| 9:30~18:00 | ● | ● | × | ● | ● | ● | × |

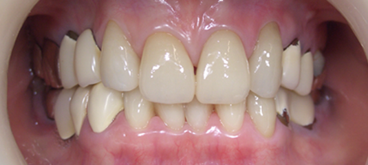
南館歯科クリニックには上記のような精密根管治療で悩まれている方が
山形だけではなく他県からも来られます。
「もっと早く来れば、相談すればよかった」と当院を利用しているほとんどの患者さんからお伝え頂きます。
マイクロスコープ(歯科専用顕微鏡)を
用いて行う
精密根管治療

全室にマイクロスコープを完備。圧倒的成功率を誇る当院だからできる根管治療。

根管治療とは、根管内の細菌感染により歯根の先の部分に膿みが溜まって腫れたり痛んだりした場合、または無症状で根の先の周りに感染が広がった場合に、原因である細菌を除去し、根管および根尖周囲組織をきれいにする治療のことです。また感染した歯髄(神経)を取る治療(抜髄)も含みます。歯周病治療と比較すると、耳慣れない地味な治療かもしれません。
被せ物や詰め物を建物に例えると、患者さんの目には見えないという点で根管治療は大事な基礎工事に該当します。
基礎工事がしっかりされていなければ、建物は何年か後に崩壊してしまいます。根管治療もこれと同じです。また痛みや感染がおきると、たとえ上にどんなに高価な被せ物をしたとしても、砂上の楼閣となり、すべて壊してはずさなければならなくなります。すべてが無駄になるということです。これは決して好ましい事ではありません。当クリニックでは、「根管治療」の大切さをご理解いただきたいと思っています。
根管治療は、もちろん歯を抜いてしまえば行う必要はありません。
しかし、歯を抜くことは、一時しのぎの治療でしかなく、歯は一本でもなくなると残存歯の歯列に影響を与えるため、安易に抜歯はおすすめできません。(残念ながら、抜歯が必要な場合もあります。)
また、抜いたままにしておくわけにはいかないので、費用と時間をかけて欠損歯の治療(インプラントやブリッジ、入れ歯など)をする必要性が出てきます。
一方、根管治療は、治療に時間がかかりますが、大切な歯の寿命を延ばすことができるとても重要な治療です。さらに根管治療は、再治療が困難と言われている上に、歯の構造上、何度も再治療ができるわけではありません。
虫歯で神経の治療(根管治療)が必要になった場合、はじめにどういった治療をするかが、歯の寿命に大きく影響してくるのです。
誰でも出来る限り歯を失いたくはないと思います。根管治療は時間がかかり複雑で難しい治療ですが、歯を守るためには必要なのです。

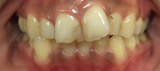
このような症状を感じたことはありませんか? またレントゲン検査で根の先に影があると言われたことはありませんか? もしかしたら、根管治療が必要かもしれません!
上記のような症状がある方は、ご相談ください。 すぐに管治療が必要かもしれません。 また、下記のような方のお悩みも、根管治療で解決できるかもしれません。
全ての物を保存できるわけではありませんが、救える可能性があるかもしれません。
当クリニックでは、
マイクロスコープやラバーダムを
使用した
精密根管治療を
行っております

この数字は、日本で一般的に行われている根管治療(保険治療)で、再発してしまう人の割合です。何度も来院していただいて、時間をかけて治療を行ったとしても、現在日本で一般的に行われている治療では、どうしても限界があります。
一方、アメリカでは根管治療専門の歯科医師がいます。
治療や感染対策も徹底しており、術後のトラブルも極めて少ないです。
1本の歯の根管治療に10万円以上かけて治療することも珍しくはありません。
それに対して、日本の多くの歯科医院では、お口の中での感染対策も不十分なまま、とても短い時間で治療を行っているのが現状です。
このことが根管治療の成功率が低い原因であると言えます。
そこで、当クリニックでは再発を防ぐために、アメリカの専門医に準じたマイクロスコープによる精密根管治療を行っております。
アメリカではすでに1998 年に根管治療の専門医はマイクロスコープの使用を義務づけられています。しかし日本においては、そういった義務もなく、マイクロスコープはまだごく一部のクリニックにしかないのが現状です。
しかも日常の臨床で活用されているクリニックとなると、さらに少ないと言われています。
飾りのように、「ただ持っているだけ。」の場合もあるからです。
別次元の治療精度を可能にするマイクロスコープが、日本の歯科の分野でなかなか普及しないのは、機械そのものの費用が高額であること、マイクロスコープを使用した治療には、相当の訓練と時間がかかること、そして日本の保険診療制度の問題があります。マイクロスコープを使用した治療は、病気の原因となる部分(感染した部分)を高倍率で確認しながら行うことができます。これは肉眼では絶対に見ることはできないレベルです。
そのため従来の治療と比較して何倍もの時間と労力が必要になります。しかし、そのように莫大な手間と時間がかかる治療に対して国の保険制度では何も認められていません。(診療報酬がゼロ:日本においては将来も増えることはないでしょう。)こういったことが足かせになっているのです。
しかし、確実で安全性の高い治療を目指すには、やはりマイクロスコープを自身の体の一部として自在に扱えるだけの技術を持ち、それを患者さんに提供していく必要があると強く私は感じています。
根管は、患者さんが直接目で見ることができないうえに、病気があっても症状が出にくい部分ですので、一般的にはどうしても治療の重要性に対して理解されにくい傾向にあります。
しかし、どれだけ虫歯治療が完璧でも、歯周病治療が完璧でも、歯の土台となる根っこの治療が完璧でなくては、結局歯を抜くリスクが生じてきます。そのようなリスクを限りなく削減するために、当クリニックは根管治療に力を入れております。
根管治療は、根っこの先に病気(正式名称:根尖性歯周炎)ができてしまうことを未然に防ぐ、またはできてしまった病気を治す治療です。
治療において大切なのは、治療を行う際、根管内が再感染しないようにすること、すでに感染しているものに関しては、細菌および汚染物を可能な限り取り除き、根管内を可及的に無菌状態に近づけることです。
そしてそのきれいになった根管を緊密に封鎖し、根尖病巣が出来にくい環境をつくること、または一度病気になってしまった根尖周囲組織が回復する環境を整えることを目的としています。
根尖性歯周炎は、根の先に炎症が起こる病気です。進行すると根の周りの骨が破壊されるのでレントゲンで黒い影が見えるようになります。
症状としては、痛む、腫れる、咬むと痛い、違和感などがありますが、無症状で進行する場合もあります。身体の抵抗力が下がったときに、症状がでるというのも特徴的です。
しっかりと治療をすれば回復しますが、治療しなければどんどん大きくなることもあります。
古い被せ物と金属の土台を除去したところです。
Case.01



歯質の感染により、軟化しています。

さらに拡大した状態です。だいぶ汚染されています。
Case.02

Case.03

Case.04

Case.05

Case.06

Case.07

Case.08

Case.09

根の病気(根尖性歯周炎)は、根の中に細菌が侵入することで起こりますが、細菌の侵入(感染)がなければ、問題は起こりません。
では細菌感染はどこで起こるのでしょうか?
もちろん虫歯や歯周病で感染するのは言うまでもありませんが、問題は治療中の感染です。
お口の中(唾液や歯垢)には、大量の細菌が存在します。
治療を行う際、この細菌が根管内に容易に侵入できる、またはしてしまう環境にあれば、治療しているのか、根管内を汚しているのか(感染させているのか)わからなくなってしまうのです。ですからいかに治療している根管に細菌が侵入しないようにするかが、治療の成功には不可欠なのです。
そこで必要になってくるのがラバーダム防湿という方法です。ゴムのマスクのようなものですが、これをすることにより、唾液による細菌の感染を防ぐことができます。さらに使用する器具の滅菌やできるだけディスポーザブル化(使い捨て)することで、根管が感染してしまう機会を可能な限り減らすことができるのです。
Case.01

Case.02

Case.01

Case.02

根管治療は、歯科治療の分野において難しいとされています。
治療したはずなのに、なんでまた再発するのだろう?と疑問に思われたことがあるかと思います。そして、症状がでるたびに再治療を繰り返されている方も多いと思います。大人の歯は、一生に一度しか生えない貴重な臓器です。失ってしまえば元に戻ることはありません。しかし、再治療を繰り返すうちに、歯はどんどん削られ、薄く脆くなり、最後には割れてしまいます。割れた歯は、状況にもよりますが、残念ながら抜歯となってしまうことがほとんどです。
現在、日本で行われている保険適用の根管治療(一般治療)は、世界では最低水準と言われています。治療費に関しても、欧米諸国や近隣のアジア諸国と比較しても、圧倒的に安く抑えられているため、根管治療の成功を左右する大切な無菌的処置やマイクロスコープ下での非常に繊細で時間のかかる治療(これらは設備投資や人件費など非常にコストがかかります)は、現実的に不可能となっています。
保険適用での根管治療費の目安は、1回¥600~¥800 程度です。保険のルールを守って治療をすればするほど赤字に陥ってしまうという残念なシステムになってしまっているのです。
莫大な手間と時間がかかる治療であるのに国の保険制度では評価がゼロ(収益が上がらない)というのは信じられません。
根管治療が上手くいかない、再発を繰り返すなどの大きな原因は、治療中の根管への再感染と考えられます。また根管内、特に根尖に近い部位は、肉眼では見えないため、マイクロスコープがない場合、手指の感覚と極めて曖昧な経験に頼らざるを得ません。そのため感染している部位が特定できなかったり、神経の残骸や汚染物を取り残すリスクが高くなります。
治療において最も大切なことは、如何に無菌的な環境で治療を行えるかです。そのためには、医学的根拠に基づいて、しっかりとルールを守り時間をかけて治療を行うことが非常に大切です。
根管治療の第一ステップは、虫歯を完全に取り除くことからスタートします。ここでもマイクロスコープを使用します。すべて除去することが大切になりますので、虫歯検知液も併用し、徹底的に感染歯質を除去します。成功を左右する大事なステップです。

虫歯を完全に取り除いたら、次に、ラバーダム防湿(ゴムのマスク)を行います。ここで重要なのは、隙間から唾液が侵入しないこと、治療中の強力な薬剤が口腔内(お口の中)に漏れないようにしなければならないということです。
ここで初めのステップに戻りますが、虫歯を完全に取り除いた後、ラバーダムを維持する歯質がない場合、先に接着性のレジン(樹脂)で壁を作り、歯の周りが全周壁になるように処置をします。これを隔壁処置といいます。
いくらラバーダム防湿を行っても、ラバーを完全に維持する壁がなければ、隙間ができ、そこから唾液が侵入し、唾液経由で根管内に細菌が入ってしまい、治療自体が台無しになってしまうので、隔壁処置はとても重要な処置となります。
ラバーダム防湿は、アメリカ歯内療法学会のガイドラインでは根管治療時の装着は必須とされています。しかし日本での装着状況はどうかというと、わずか6%程度です。
口腔内は細菌だらけです。唾液の中にも想像をはるかに超えた数の細菌が存在します。そのような環境の中、ラバーダムもせずに根管治療を行えば、簡単に根管内は感染してしまいます。ラバーダムは、唾液の侵入を阻止(細菌の侵入を防止)し、また強力な薬剤を安全に使用するためにも必須なのです。
Case.01

虫歯を除去した直後です。一部虫歯が歯肉の中まで進行し、壁が欠損しています。

樹脂(レジン)で欠損した部分に壁を作る隔壁処置を行ったところです。
Case.02

被せ物(メタルのコアも含め)と虫歯を除去したところです。歯の全周にわたり、健全な歯質の壁がありません。

樹脂で壁を作る隔壁処置を行ったところです。

全周に壁ができたことで、しっかりとラバーダムを装着することができます。
Case.03

虫歯の徹底除去、必要に応じて隔壁処置、そしてラバーダム防湿を行い、ここから本格的に感染した根管内の治療に入って行きます。
もともと歯根と言われる歯の根っこは細く、その内側にある根管内はさらに細く入り組んでいます。この根管を、歯を削るための器具で不用意に削ってしまうと、削りすぎてしまい歯質が薄くなり割れやすくなったり、最悪の場合、歯根に穴が開いてしまう恐れがあります。そのため当クリニックでは、細い根管内の汚染物や、虫歯、神経の残骸などは、超音波の器具を使用し、専用の超音波チップで振動を加えながら、こそぎとるようにして機械的清掃を行っていきます。歯にとって最も安全でやさしい方法と考えます。
これと並行して、強力な殺菌作用のある薬剤を使用し、化学的清掃を行っていきます。





状況により、LAD光殺菌も使用し、徹底して根管内の殺菌・清掃を行います。
Case.01


Case.02


Case.03


上記の処置を何度か繰り返し、根管内が綺麗になり、歯根および根周囲組織が治癒しやすい環境が整ったら、根管を緊密に封鎖する処置(根管充填処置)を行います。




この根管充填は、アメリカなどで主流の垂直加圧法で行っていきます。密封度が高く隙間ができにくいため、細菌が再度侵入しにくくなります。しっかりと緊密に根管を封鎖し、漏洩をなくすことがとても大切で、再発を防止するための重要なステップとなります。また根尖の破壊や根管内に穴が開いてしまっているケースでは、緊密な封鎖が困難なため、海外で評価の高いMTAといわれる薬を使用し、根管の確実な封鎖を行います。







緊密に根管内を封鎖する根管充填処置を行った後、次は支台築造(コア・ファイバーコア)を行っていきます。根管治療を行った歯は、竹筒のように中が空洞化しています。(ただし根管部分は、根管充填により封鎖されています。)したがって、このままでは強度は勿論のこと、最終的な補綴治療(被せ物等)が行えないので、土台を作ることになります。これは、根管内が再度汚染されないようにする目的も兼ねていますので、大切な治療となります。
Case.01

当クリニックでは、今現在、最も優れているとされる材料を使用するようにしています。ここで重要なのは、歯と一体化するための接着という概念です。細菌の侵入を防ぐ目的もありますが、しっかりと接着することで、強度も最大限発揮できるとされています。そのため、ここでもマイクロスコープを使用し、接着阻害因子等を徹底的に除去し、接着処理を行います。この分野は進歩が著しいので、常に情報を得るようにし、最良の方法・材料を選択し、治療を行っていきます。
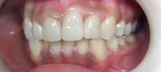
支台築造後は、最後のステップとなる歯冠修復処置を行います。根管治療を行った歯は、基本的にクラウン(被せ物)といわれる歯をすべて覆う治療となります。とくに奥歯は、様々な論文からも、適切なクラウンを装着することで補強がしっかりとされ長期的に安定することが証明されています。
適切なクラウンとは、精度の高い(ぴったりとした)ものを、適切な環境のもと、適切に処理を行い、接着したものを指します。これにより細菌に対する抵抗性も増し、2次虫歯等のリスクも軽減することができます。
01マイクロスコープ下での支台歯形成

被せ物との境目になるマージンを、マイクロスコープ下で一本のラインとなるよう丁寧に形成します。

虫歯の再発を防ぐ目的として、マージンの位置を歯肉溝内に設定するため、マイクロスコープ下で形成を行っています。
02シリコン材による精密印象:型どり

歯肉溝内のマージンの形態を正確にとるため(型どり)、専用の糸を入れています。

型どりの直前に糸をとります。

専用のシリコン材を流し込みます。


精密印象(型どり)が終わったところです。

マージン(被せ物との境目になる部分)部が、くっきりと記録されているのがわかります。
03クラウン装着後の状態
精度の高い補綴治療(クラウン等)は、歯の削り出しや型どりの段階から、高い精度が求められます。ここでもマイクロスコープを使用し、慎重に形成(削り出し)を行ったあと、シリコン材を用いて正確に型どりをし、肉眼での治療とは別次元の精度の被せ物を作製し、接着します。
Case.01


Case.02



Case.03



Case.04


根尖病巣が大きかったり、外科処置を検討しなければいけないようなケースは、根管処置を行ったあと数か月経過観察を行う場合があります。
また残念ながら根管治療のみでは治癒しないケースもあります。破折があったり、物理的に器具が到達できない部位に感染があったり、根尖孔外感染があるなど原因は様々ですが、その場合は歯根端切除、意図的再植、抜歯などが治療の選択肢となります。
保存できなかった歯

歯根破折していた歯

摘出した歯根嚢胞と原因歯

根管治療では治癒が期待できない。でも、外科処置によって治療できることがあります。 南館歯科クリニックでは、このような問題がある場合は外科処置に移行し、できる限り歯を残せるように努めております。
根管治療菌极端切除術根尖の腫(嚢胞)や、根管治療の予後が悪い場合などに、歯根の尖端部分を切除する処置です。

問題のある歯を一度抜歯して治療し、治療後に歯を元の場所に再植する処置です。 あくまでも、歯を残すための「最終手段」として行います。

通常の根管治療ができない場合でも、症状に合わせた外科処置を行いますので、まずは一度ご相談ください。
01マイクロスコープ(手術用顕微鏡)

歯科治療は、目に見えない細菌と治療精度との戦いです。 南館歯科クリニックでは、その武器として医療現場でも世界的に 評価の高いドイツ・カールツァイス社製: 【OPMI Pico with MORA Interface/バリオスコープ仕様 (対物レンズ)/LED仕様】を全ユニットに導入。 同仕様のものは、山形県では初となります。 マイクロスコープ下での治療には、長い治療時間はもちろんのこと、高い治療技術が求められます。 しかしそれがないと、特に根管治療(根の治療)の際に、根尖孔そのものや、根尖での分岐、側枝はもちろん、 根管の微細な構造を発見し、その内部を見ながら治療を行うことは、ほとんど不可能となります。 また細菌はそういった部分に潜んでいることが多いため、再発の原因となってしまうこともあります。 したがってマイクロスコーブの導入は、当クリニックの再発の少ない最善の治療を提供するという理念のため には、欠くことのできないものであると思っています。

マイクロスコープのメリット
02ラバーダム

ラバーダムとは、根管治療(歯の根っこの洗浄等)などの際に、 歯に装着するゴムのマスクのようなものです。
ラバーダム防湿は、なぜ必要か?
歯科治療が進んでいる欧米などの根管治療専門医では、 治療時に使用が義務付けられているほど、ラバーダム防湿は 国外では当たり前となっている治療手法です。
では日本はどうかというと、ラバーダムの使用率は、ほぼゼロです。 健康保険制度内に、根管治療におけるラバーダムの算定(国からのお金)はありません。 これは国の歯科治療への考え方が「胸の痛みが取れさえすれば良い」というものだからです。再発のリスクを少 なくするラバーダムは、国から“必要ではないと見なされているのです。これがラバーダムの普及を妨げてい る大きな理由のひとつです。
根管内が汚れたり、根の先が傷んだり、腫れたり、腰んだり、様々な病態のそもそもの原因は何でしょうか。
根の病気のそもそもの原因は、口腔内(ブラークや唾液内)の細菌です。つまり、根管治療の際、原因である細 菌を可能な限り根管内に入り込ませないようにする必要があると言えます。口腔内は、唾液でいっぱいです。 この唾液中には細菌が大量に含まれています。ですから、ラバーダムで唾液の侵入を防がなければならないの です。細菌感染を防ぐためには、ラバーダムは必須です。根管治療の目的は、将来的に渡って、その歯が口腔内 で問題なく健康であり続けることです。ラバーダムの有無は、根管治療の成功率にも大きく関わっています。
たった一枚ラバーダムをかけるかかけないかの違いで、その人の歯の運命が決まってしまうこともあるのです。
※南館書科クリニックでは、可能な限りラバーダムの使用を心掛けています。
治療中の歯に、唾液や細菌が 侵入してしまうと危険です。
ラバーダムによって、治療に必要な 歯だけを隔離し、唾液や細感の侵入を防ぎます。
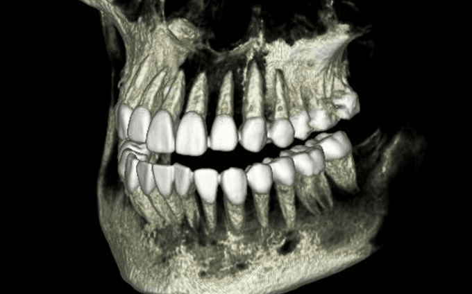
03CT診断の有効性

南館歯科クリニックでは、次世代再構成診断ソフトを搭載した歯 科用CTを導入しております。CTは、2次元のレントゲン画像で は診断しづらい複雑な根管形態や、周辺の骨や組織などに生じて いる問題を3次元的に診断することが可能です。正しい診断が、 正確な治療を行う鍵となります。

【見つけにくい根管】
根管の数は、1~4根管程度あり、前歯、小臼歯、大臼歯で異なります。しかし、曲がったものや狭窄しているなどして見つかりにくい根管は多々あります。レントゲンで根の長さや形を確認しながら治療は行いますが、通常のレントゲンは平面です。重なった根管や複雑な形態の根管など見つけにくい根管には、立体的に実像を把握することができるCTが有効です。

【歯根の病巣】
レントゲン画像で、根の先に黒い影が見られることがあります。 根管治療で対応できるのか、外科的処置が必要なのか診断する 必要があります。CT画像は、病巣の大きさや位置を立体的に診 断することができます。また、病巣が神経に近いのか、解剖学的 にリスクの高いところまで広がっていないかなども確認すること ができます。

【パーフォレーション】
難治性病変の原因の一つに、パーフォレーション(根管壁に穴が 空く)による感染があります。従来の肉眼での根管治療の場合、 感染経路の特定が難しいケースがあります。マイクロスコープとCTを併用することで、このパーフォレーションしている部分を見つけることができます。
04MTA(mineral trioxide aggregate)とは

MTA(mineral trioxide aggregate)とは、 1993年にアメリカで開発され歯科用の水硬性セメントで、諸外 国では1998年以降、虫歯や歯科治療によって歯の内部に穴が あいた場合や歯にひびが入った時などに用いられ実績を挙げて います。虫歯の穴ではなく、歯牙の内部の穴を埋めるのに使用さ れるセメントです。海外では、様々な臨床応用が認められ、高い 評価を受けていますが、日本では2007年にやっと覆髄材として のみ、薬事認可されました。
【どのような場合に使われるのか?】

南館歯科クリニックでは、主に根管治療においてパーフォレーション(歯に穴が空く)や病巣によって 根尖部が破壊されてしまったケースに使用します。
【MTAのメリット】
05十分なトレーニングと経験

専門的な根管治療を行うには、マイクロスコープは必須となります。 しかし、マイクロスコープを使用しての治療には、高い治療技術が 求められます。正しく使えなければ、いくら導入したからといって治 療レベルが上がるわけではありません。そのため自分の身体の一 部として使いこなすには、しっかりとトレーニングをすることが必要 です。従来の覗き込む治療と異なり、鏡越しに反転画像を見ながら 行うミラーテクニックも、マイクロスコープ治療では重要な技術と なり、その正確性も高いレベルで求められます。当院の歯科医師お よび歯科衛生士は、マイクロスコープ専門のトレーニングを受け、 学会や講習会に参加するなど、日々研鑽を積んでいます。
06衛生的な器具・治療環境・個室

根管治療は、できる限り根管内を無菌的に処理することが大切です。 そのために、徹底した器具の滅菌および消毒は欠かせません。滅菌 してある治療器具は、治療直前に開封し、またディスポーザブル(使 い捨て)のものも多用して、二次的な感染を防いでいます。
07治療の質へのこだわり

根管治療の成績は、根の形が複雑で個人差が大きいため、予後 が悪かったり、再発するケースも多いのが現状です。残念ながら 絶対的な予後を保証するものではないですが、高度な治療を行 うための設備をしっかりと整え、それに伴った技術の研鑽を行い、 一本でも多くの歯を助けることができればと考え、治療に取り組んでいます。
根管治療の1回の治療時間は、60~90分です。症状や病態によって異なりますが、7~14日に一度の通院で回数 は3~6回が平均です。
※あくまでも目安です。症状の経過によって、変わることがあるということを十分にご理解ください。
初診時

・問診
・レントゲン撮影
・全体および局所診査
・カウンセリング (内容により後日の場合あり)
処置

・CT撮影(必要と判断した場合)
・患歯へのアプローチ (冠除去など)
・マイクロスコープ下での患部除去
診断・説明

・マイクロスコープ画像を用いて説明
・レントゲンやCTによる画像診断
治療の継続
治療内容に対してご理解をいただけたら、継続して治療を行っていきます。
治療

保存可能な場合・根管充填
・外科的根管治療
・MTAでの治療で根管治療完了
被せ物作成

保存不可能な場合・抜歯
インプラント
ブリッジ
部分入れ歯
メンテナンス
・予後のチェック
・専門メンテナンス
南館歯科クリニックでは、マイクロスコープ治療専門クリニックとして精度の高い根管治療を行っているため、 多くの方が遠方より来院されます。 しかし、根管治療だけで、他の治療やメンテナンスは、通いやすい歯科医院に任せるという方もいらっしゃいますが、本当にそれで良いのでしょうか。根管治療をしっかりと行っても、その後の治療が原因で歯を失うこともあります。それは、歯科医の考え方や治療次第で、歯の寿命はどうにでも変わってしまうからです。 本当に歯を大切にしたいとお考えであれば、治療やメンテナンスもコンセプトがしっかりとしたクリニックで受けることが最も安全で安心だと考えます。 皆さんが本当に願うことは、マイクロスコープで治療を受けることではなく、自分の歯を保存し、将来に渡って自分の歯でおいしく食事が出来ることだと思っています。
A神経管の直径は、一般的に0.25mm~1.20mm程度です。 口腔内は暗くて、根管は細いことから、肉眼だけでなく、歯の内部をほぼ真上から十分な光量で観察しながら治換できるマイクロスコープが必要とされます。
A患者さん自身の口腔ケアにもだいぶ左右されますが、歯髄(歯の神経)をとる治療の場合の成功率は90%以 上です。
また、外科的処置を含む再根管治療の場合は85%以上です。
A根管治療は残っている歯に対して行う治療、インプラントは失ってしまった歯を補う治療です。 そもそもの目的が異なる治療ですので、どちらが良いかは一概には言えません。しかし、どんなに優れた人工歯でも本物の歯に勝るものはありません。抜かずに済むのなら、できるだけご自身の歯を残すことをおすすめします。
Aいいえ、虫歯になることはあります。 根管治療後は以前よりも歯が弱くなっており、虫歯菌が再び感染するリスクも高まります。
また、歯の神経がないため虫歯が進行しても痛みがない状態ですので、以前よりもしっかりとケアしてください。
A歯の健康維持にはさまざまな要素が関係しますので、必ずしも何年持つとは断言できません。
抜歯せずに済んだ大切な歯の寿命を少しでも延ばすために、ご自身でのケアや歯科医院でのメンテナンスを続けましょう。
Aはい、問題ありません。 ただし、歯は以前よりも弱くなっていますので、これまで以上に虫歯や歯周病の予防を丁寧に行ってください。