マイクロスコープを使用した治療

マイクロスコープ下での治療には、長い治療時間はもちろんのこと、高い治療技術が求められます。しかしそれがないと、特に根管治療(根の治療)の際に、根尖孔そのものや、根尖での分岐、側枝はもちろん、根管の微細な構造を発見し、その内部を見ながら治療を行うことは、ほとんど不可能となります。また細菌はそういった部分に潜んでいることが多いため、再発の原因となってしまうこともあります。
したがってマイクロスコープの導入は、当クリニックの再発の少ない最善の治療を提供するという理念のためには、欠くことのできないものであると思っています。
現代医療において、マイクロスコープは、脳外科、心臓外科、耳鼻科、眼科などの医科の分野では、あたり前のように使用されており、これは顕微鏡レベルでの拡大視野のもと行う施術の有効性を証明するものとして、疑う余地もありません。
歯科治療においても、顕微鏡下で行う根管治療(マイクロエンド)や、歯冠・歯根破折治療、顕微鏡下で手術を行うマイクロサージェリー、その他歯を削ったり詰め物をする際に、想像をはるかに超える威力を発揮します。
このようにマイクロスコープは、歯科治療の分野においても非常に有効性の高い武器です。しかしマイクロスコープを使用しての治療には、高い治療技術が求められます。正しく使えなければ、いくら導入したからといって治療レベルが上がるわけではありません。
また当クリニックでは、ハイビジョンカメラにより、歯の状態や治療過程を録画して、映像で内容を説明することも可能です。
治療は、まず患者さんにご自身の状態を正しく理解していただくことが大切なので、ご自分の映像を見ていただくことは、とても重要であると考えています。
いままでの歯科治療の多くは、肉眼と手指感覚で行われてきました。しかし人間の目には限界があり、虫歯(細菌)の取り残しや、精度の甘い部位からの細菌の侵入などにより、一度治療したところが再発してしまうケースが残念ながら多く見受けられます。
南館歯科クリニックでは、「本当に最善の治療ができているのだろうか」という疑問に対し、脳外科や心臓外科など緻密な治療を求められる分野では、当然のごとく使用されているマイクロスコープを、全個室に常設し、「再発リスクをできる限り減らす」ことに力を注いでいます。





















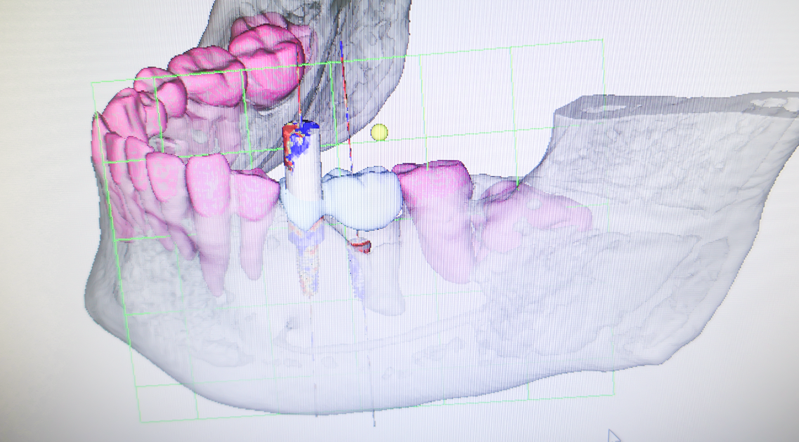
BioNaシミュレーション画像
歯牙支持型フラップレス








