2022.10.01
適切なメンテナンスの期間を知...
| 診療時間 | 月 | 火 | 水 | 木 | 金 | 土 | 日 |
|---|---|---|---|---|---|---|---|
| 9:30~18:00 | ● | ● | × | ● | ● | ● | × |
症例実績

こんにちは。
南館歯科クリニックの歯科衛生士、山崎です。
以前の続きの症例です、前回の内容をご覧になって頂くと解りやすくなります。
是非ご覧ください。
→【歯周病治療】今にも歯が抜けそう
→【歯周病治療】今にも歯が抜けそう・2
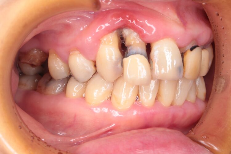
ご自宅でのケアを継続していただいた結果、初診時と見違える程歯ぐきの腫れが改善してきました😊

歯磨きの腕は、必ず上達するので大丈夫ですよ👌
長年の癖があるので改善されるまで時間がかかりますが、根気良く続けていきましょう😊
現在の歯の状態は、
腫れは引いても、骨が無いのでエアーをかけただけでグラグラする、
少し触っただけで出血をし、歯石が突起の様に飛び出して歯茎に突き刺さっていました。

歯磨きするのが本当に難しい状態でしたが、ここまで頑張って綺麗にしていただけたおかげで、いよいよ歯石を除去する事ができます。
私たちは、自分の歯を失うという事がどれほ衝撃的なことか知っています。
そして歯周病は歯を失うだけでなく、私達から、自信や活力、更には日常生活の自由まで奪うでしょう。
このショックな事を少しでも回避するために、歯周病を治療し、意識を高める事は、私たちの使命の一つです。
本気で歯周病を治したいとお考えの方は、是非こちらもご覧ください。
YouTubeで他の治療動画もご覧になれます。
