2022.10.01
適切なメンテナンスの期間を知...
| 診療時間 | 月 | 火 | 水 | 木 | 金 | 土 | 日 |
|---|---|---|---|---|---|---|---|
| 9:30~18:00 | ● | ● | × | ● | ● | ● | × |
症例実績

こんにちは!
南館歯科クリニックの歯科衛生士 山崎です。
歯周専門治療のご紹介です。
60代男性の方です。
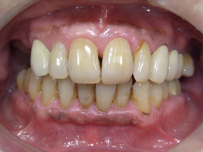
治療前 写真

退職後、ようやくご自身の身体をメンテナンスする時間が取れるようになりました。
糖尿病の服薬もあり、初診時はHb A1cが7.3と高めの状態で、
口腔内には、歯肉の炎症とプラークが歯茎の際に付着している事が写真からもわかります。
糖尿病と歯周病は非常に密接に関係しており
一方が良くなると、もう片方も良くなるような関係にあります。
悪くなる時も同じで、急激に悪化するのが特徴的です。
糖尿病で産生される炎症性サイトカインなどの因子は、歯肉を炎症させ歯周病を悪化させます。
また歯周病は、歯周ポケットの中にいる細菌が生み出す毒素(LPS)が歯肉の毛細血管から血液の中に入り込み、インスリンが効きにくい状態を招き、糖尿病を悪化させています。
(詳しくはこちら→歯周専門治療紹介ページ)
治療後写真 (右上はインプラント、左上は義歯)

最終的には、HbA1cは6.2に下がっていました。
内科主治医の先生からのご指導と服薬を良く守って下さった事と、
歯周病治療に対しても、良い感じでご協力いただけた成果です。
本当に良く頑張っていただけて、とても嬉しく思います。
糖尿病も歯周病も、生涯付き合っていかなければならない病気です。
無理のない範囲で、ゆるく、長く、継続できるように、今後も一緒に頑張りましょう♪
