2022.10.01
適切なメンテナンスの期間を知...
| 診療時間 | 月 | 火 | 水 | 木 | 金 | 土 | 日 |
|---|---|---|---|---|---|---|---|
| 9:30~18:00 | ● | ● | × | ● | ● | ● | × |
症例実績

こんにちは!
南館歯科クリニックの歯科衛生士 山崎です。
重症化した歯周病治療のご紹介をします。
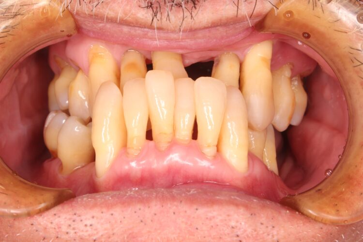
60代男性の方です。
学生時代に受けた歯石除去が痛くて、それ以来歯石除去は避けていたそうです。
朝起きたら、歯が抜けており、
出来るだけ歯を残したいと、意を決して来院されました。

下の歯が上の歯の前に来ており、受け口の傾向がありました。
受け口の場合、歯にかかる負担が大きいことと、歯磨きが難しいことで、虫歯や歯周病のリスクが非常に高くなります。
(今回の場合は既に歯を支える骨がないので出来ませんが、まだ骨のある方は、矯正治療で受け口をある程度治しす事をお勧めします。)→矯正治療について
初診時には既に歯を支える骨が1/3以下しか残っておらず、ぷらぷらしている歯も多数ある状態で、凝り固まった歯石も多数あり、出血も多く、かなり厳しい状態からのスタートでした。
(歯周治療後の写真)

残された骨の量を考えると、医学的に最適な治療は抜歯を選択するべきだったかもしれませんが、
はじめての来院から今年で7年経ち、今でもご自身の歯で過ごしていただいている姿をみると、ご希望にこたえることができて良かったと思います。
(現在の写真)

歯を残し、守る為に、皆さんにご協力頂かなければならない事もあるからこそ、
良い結果になる為に全力で取り組んでいます。
もちろん、痛みには細心の注意をはらった上で。
是非一度ご相談ください。
→歯周専門治療について
