2022.10.01
適切なメンテナンスの期間を知...
| 診療時間 | 月 | 火 | 水 | 木 | 金 | 土 | 日 |
|---|---|---|---|---|---|---|---|
| 9:30~18:00 | ● | ● | × | ● | ● | ● | × |
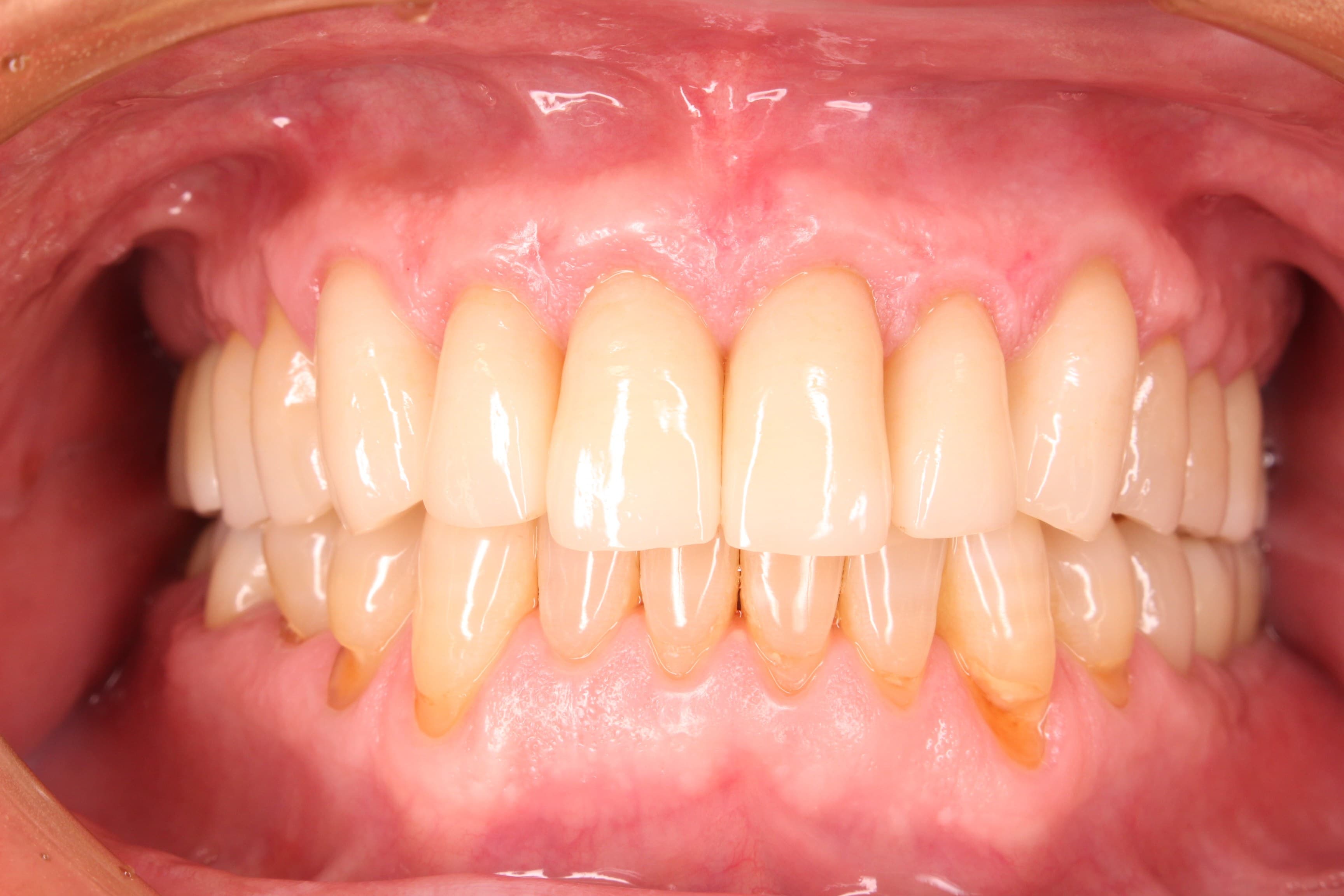
症例実績

身体を清潔に保つことは、感染症予防において、とても大事なこととなります。
清潔にしておくことで、病原菌は感染しにくくなります。
そのため、新型コロナの感染予防においても、 手や顔、身体、髪の毛等を洗うことの重要性が盛んに言われていますが、 お口の中を清潔にすることを忘れてはいないでしょうか?
ウイルスや細菌の感染は、基本的に鼻と口、目から起こります。
免疫が低下していることも関係しますが、 インフルエンザの場合は、お口が不潔(不衛生)であると、口腔内に入ってきた ウイルスが容易に感染してしまいます。
死亡原因としてあげられる誤嚥性肺炎は、口腔内のウイルスや細菌が原因です。
口腔内を清潔に保つことも、手洗いやうがいなどと同様、 ウイルス感染を防ぐために、とても重要な対策なのです。
特に、歯周病は、その原因菌が持つ特性上、粘膜への感染を促進します。
歯周病にかかっている方は、感染のリスクを抑えるためにも、 しっかりと歯周病治療を行っていくことが大切です。
