2022.10.01
適切なメンテナンスの期間を知...
| 診療時間 | 月 | 火 | 水 | 木 | 金 | 土 | 日 |
|---|---|---|---|---|---|---|---|
| 9:30~18:00 | ● | ● | × | ● | ● | ● | × |
症例実績

こんにちは。
南館歯科クリニックの歯科衛生士の山崎です。
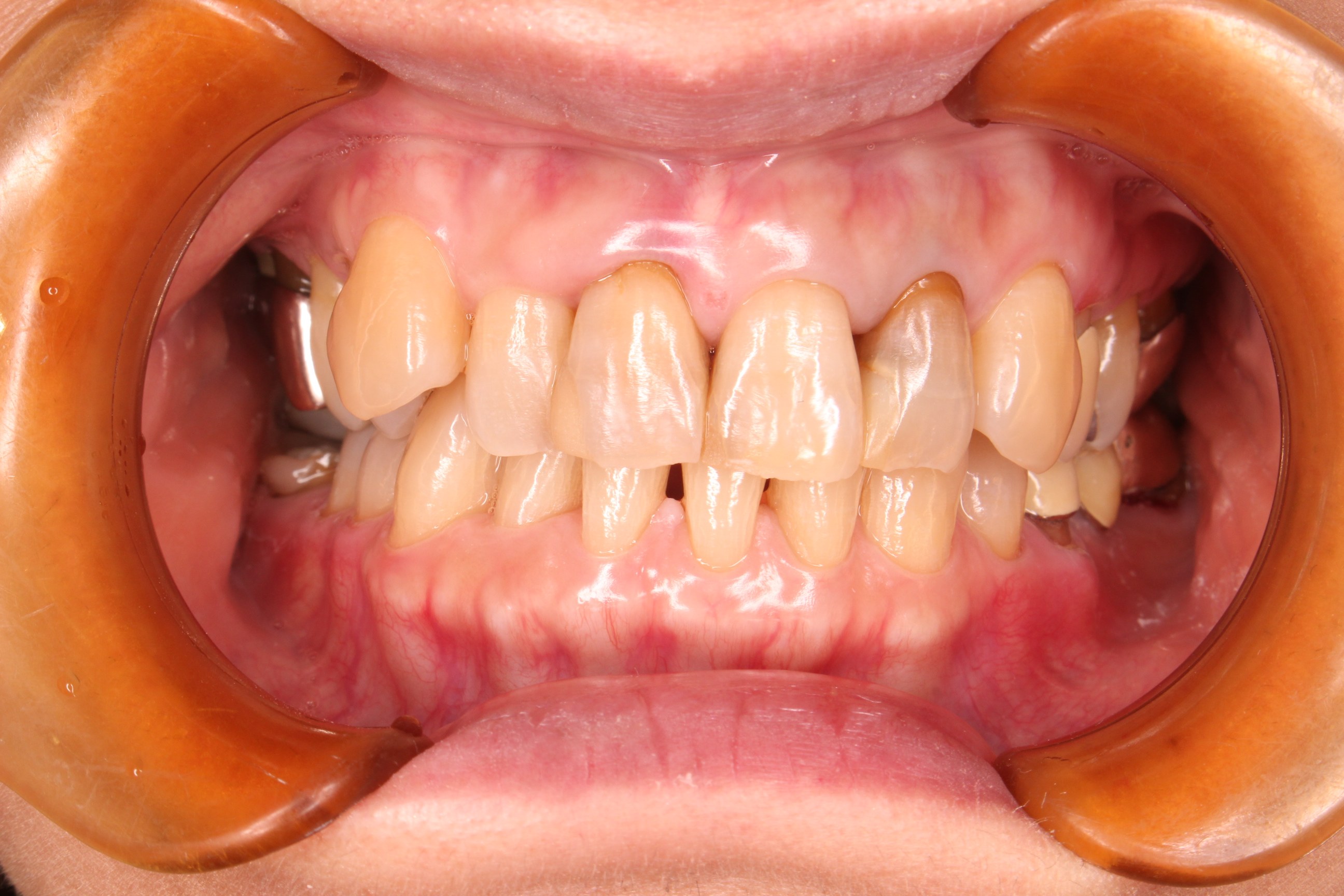
今回ご紹介するケースは、以前ご紹介したことのある40代女性の治療後です。
長年、他院で虫歯と歯周病の治療を繰り返していらっしゃいました。
治っている実感がなく、治療を繰り返すことを辞めたいとのことで来院されました。
(初診時)

(治療後)

お手入れと治療の両立が行えて初めて歯周病は改善します。
残念ながら、既に歯周病により歯を支える骨が溶けている場合、炎症が引いた歯茎は、吸収した今の骨のラインまで後退しますが、お互いに一生懸命努力した結果、とても綺麗な口腔内に戻る事ができました。
歯周病治療は、綺麗で清潔な状態を長く保つ事が大切です。
虫歯、歯周病、病的口臭の原因は、細菌です。
口腔内の悪玉菌と善玉菌のバランスを整えて、清潔に保つことでほとんどの病気を回避できます。
そして病気を治すうえで、どうしたら病気を防げるのかを知っていただくことがとても重要です。
歯周病治療では、徹底的に口腔内の環境を改善していくとともに、患者さんご自身にもその方法を身に付けていただきます。
この治療をきっかけに、ご自身の健康に対する意識が変わられて、とても嬉しく思います。
少しでも長く、ご自身の歯で快適な生活を送る為に、最善を尽くして頑張りましょう!

山形市でマイクロスコープ治療専門の歯科医院
南館歯科クリニック
Tel:023-644-0018
