2022.10.01
適切なメンテナンスの期間を知...
| 診療時間 | 月 | 火 | 水 | 木 | 金 | 土 | 日 |
|---|---|---|---|---|---|---|---|
| 9:30~18:00 | ● | ● | × | ● | ● | ● | × |
症例実績

こんにちは。
南館歯科クリニック 院長の木村です。
矯正の症例をご紹介します。
20代の女性で、以前から上の前歯の歯並びが気になっていたそうです。
前歯の歯並びを治す方法には幾つかありますが、どういった方法で行うかは、希望や状態によって変わります。
また歯並びの状態によっては、前歯だけの部分矯正でいけるのか、全顎矯正で治さなければならないのかが変わってきます。
今回のケースは、部分矯正の適応と判断し、また期間も短くしたいという希望もありましたので、ブラッケトを付けてのワイヤー矯正で進めることとしました。
初診の状態です。



ブラケットを装着した直後です。



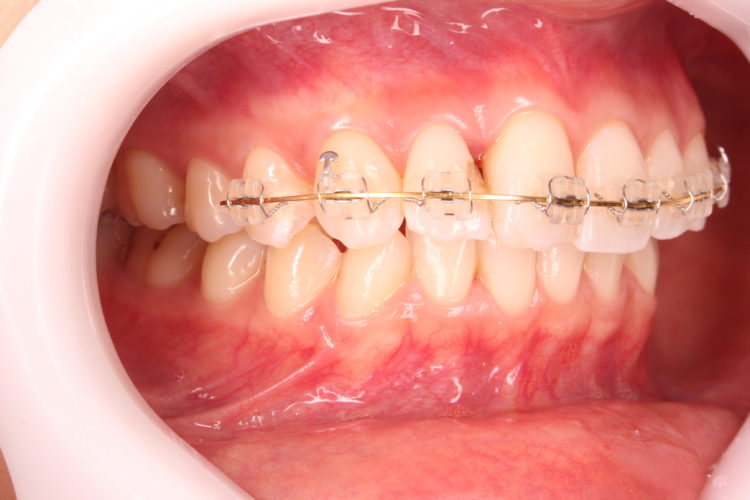
途中経過です。



だいぶ並んできました。ワイヤーも交換し、もう少しでフィニッシュです。(※隠れていた虫歯が見えてきました。)
ブラケット除去直前の状態です。

治療後の状態です。



期間は約3か月。満足して頂きました。歯が重なっていた部分が並んできた為、元々隣接面に虫歯があった部分が表に見えてきました。
この後、虫歯の治療をご希望されているので、きれいにする予定です。
矯正期間中は、虫歯や歯周病のリスクが上がるため、今まで以上にセルフケアをしっかりと行って頂く必要があります。せっかく歯並びを治したのに、終わったら虫歯だらけ、歯周病になってしまったでは、本当に残念です。
前歯の矯正の目的は、きれいになることです!
終わったあとに、お互い悲しい思いをしないように頑張りましょう(^^)
山形市でマイクロスコープ治療専門の歯科医院
南館歯科クリニック
Tel:023-644-0018
