2022.10.01
適切なメンテナンスの期間を知...
| 診療時間 | 月 | 火 | 水 | 木 | 金 | 土 | 日 |
|---|---|---|---|---|---|---|---|
| 9:30~18:00 | ● | ● | × | ● | ● | ● | × |
症例実績

こんにちは。
南館歯科クリニックの山崎です。
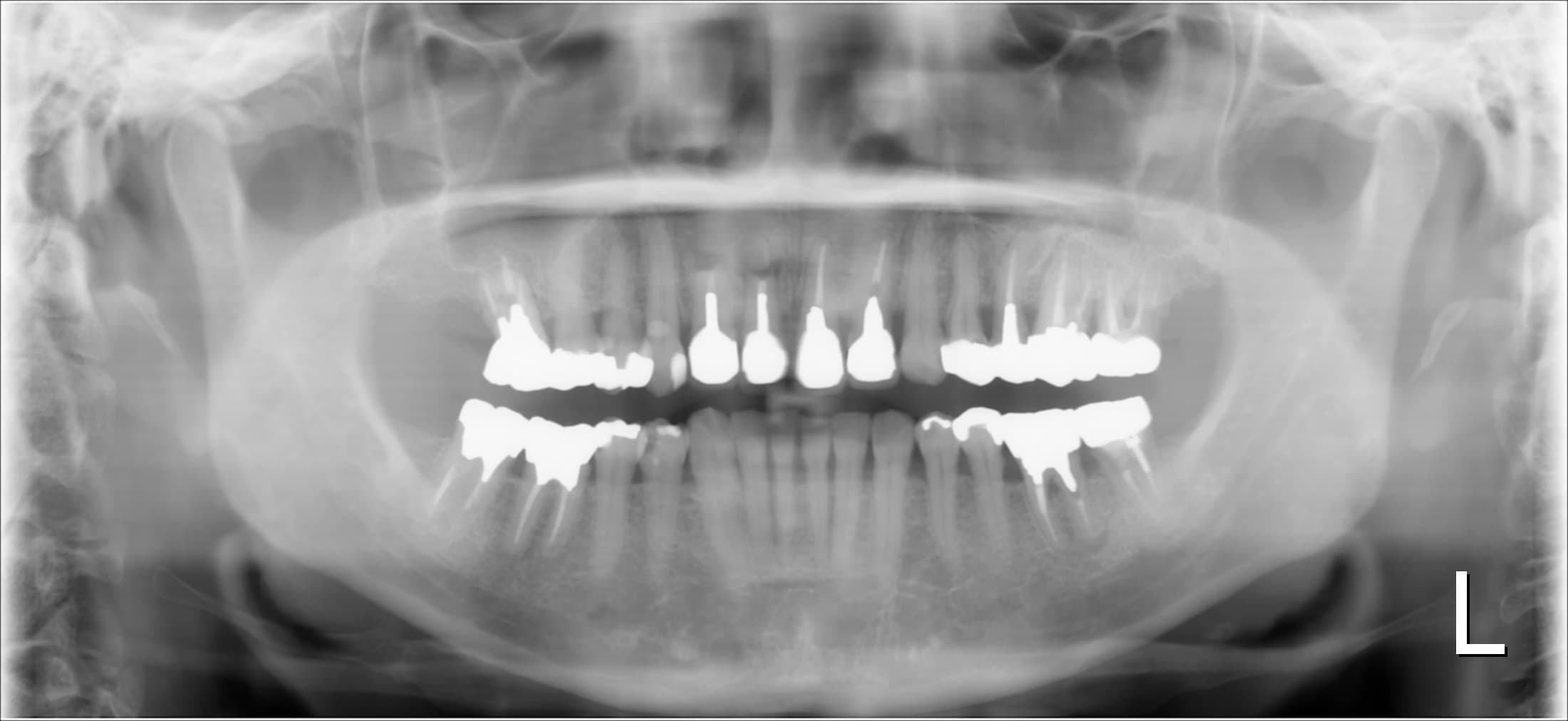
今回ご紹介する歯周専門治療のケースは、50代女性の方です。
虫歯の治療を目的として来院し、現在も虫歯や被せ物の治療は継続しています。
初診時の状況は、歯周病の進行も非常に深刻で、一部では歯を支える骨が大きく溶けて排膿や出血は勿論、歯の動揺も認められる状態でした。
ご本人は、これからは悪くならないようにしっかりと管理していきたいというお気持ちが強く、徹底的に病気のリスクを取り除く事に協力して頂けました。

歯ブラシを当てると出血するような状況だった為、当初は血がブラシに付くと磨く事に消極的になっていましたが、段々と良くなっていく実感をご自身で感じて頂けた事で、歯周病の治療後は見違える程、症状が改善しました。
ご自身でも、良くなったことを実感して頂けて本当に良かったと思います。

(上記の写真は1回目の仮歯を入れて撮影したものです。)
歯周病治療の目標は、良くなった状態を長期間維持する事にあります。
今後変化するライフステージに合わせたケアを行い、不自由のない生活を送って頂ける様に私たちも全力でサポートしていきます。
