2022.10.01
適切なメンテナンスの期間を知...
| 診療時間 | 月 | 火 | 水 | 木 | 金 | 土 | 日 |
|---|---|---|---|---|---|---|---|
| 9:30~18:00 | ● | ● | × | ● | ● | ● | × |
症例実績

こんにちは。
南館歯科クリニックの山崎です。
今回ご紹介する歯周専門治療のケースは、60代女性の方です。
50代から長期間身体を壊し、他院にて6か月に1度歯石取り(メンテナンス?)を行っていましたが、一向に口腔内のネバネバや不快感が改善しなかった為、来院されました。
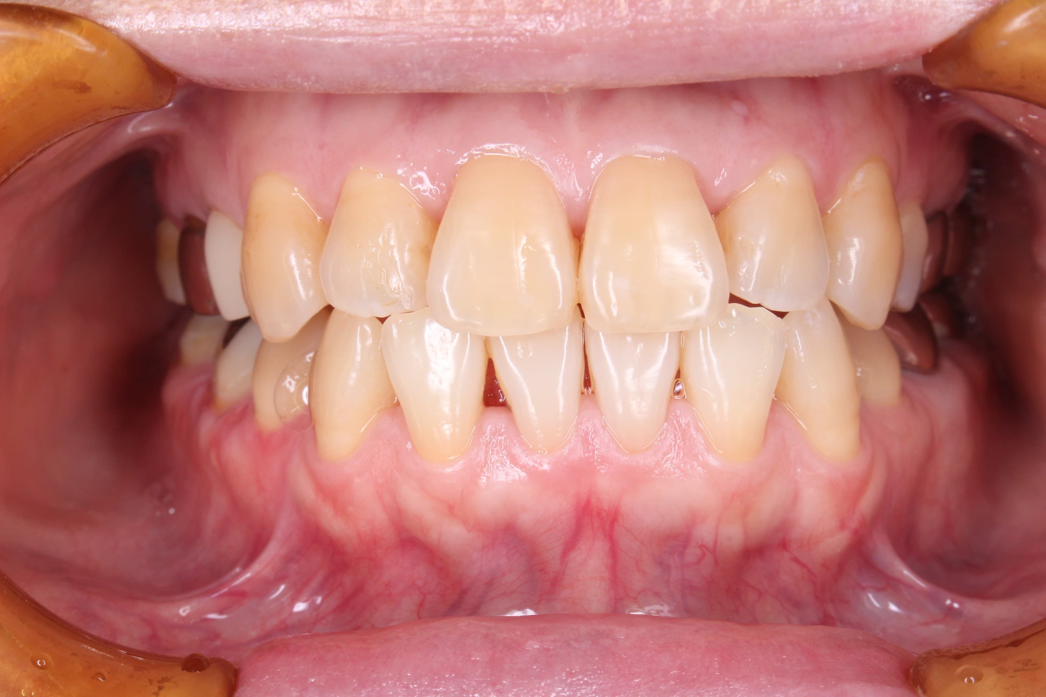
基本検査の結果、全体的に中程度の歯周ポケットがあり、歯肉からの出血、歯周ポケット内に歯石を確認することができました。
またお手入れは、ご自身では見え難いところに磨き残しがありました。
治療前



口腔内のネバネバや不快感といった症状は、全身的な疾患も影響する場合もあるので、残念ながら歯周基本検査だけで断定できません。しかし検査の結果、その方に歯周病があれば、原因の一つとなり得るので、歯周病のコントロール行っていく必要があります。
現在抱えている問題と、歯周病の原因や治し方をご説明し、歯周専門治療で対応していくことになりました。
約半年間という長い期間頑張っていただいたおかげで、ブラッシングテクニックは見違えるほど上達し、磨き残しにご自身で気づいて改善していただけるまでになりました。
ネバネバや不快感も、治療終了時には改善されたそうで、私たちもとても嬉しく思います。
治療後


メンテナンスとは、病気がない健康な状態を維持していくためのものなので、そもそも病気になっている場合は、先ず「治療」が必要になります。
そして歯周病は、正しい手順で治療を行えばコントロールできる病気です。
心配や不安を抱えて生活するより、先ずは検査でご自身の状態について正しく知ることをお勧めします。
