2022.10.01
適切なメンテナンスの期間を知...
| 診療時間 | 月 | 火 | 水 | 木 | 金 | 土 | 日 |
|---|---|---|---|---|---|---|---|
| 9:30~18:00 | ● | ● | × | ● | ● | ● | × |
症例実績

こんにちは。
南館歯科クリニックの歯科衛生士の山崎です。
今回ご紹介する歯周専門治療のケースは、3人のお子さんの子育て中の40代女性です。
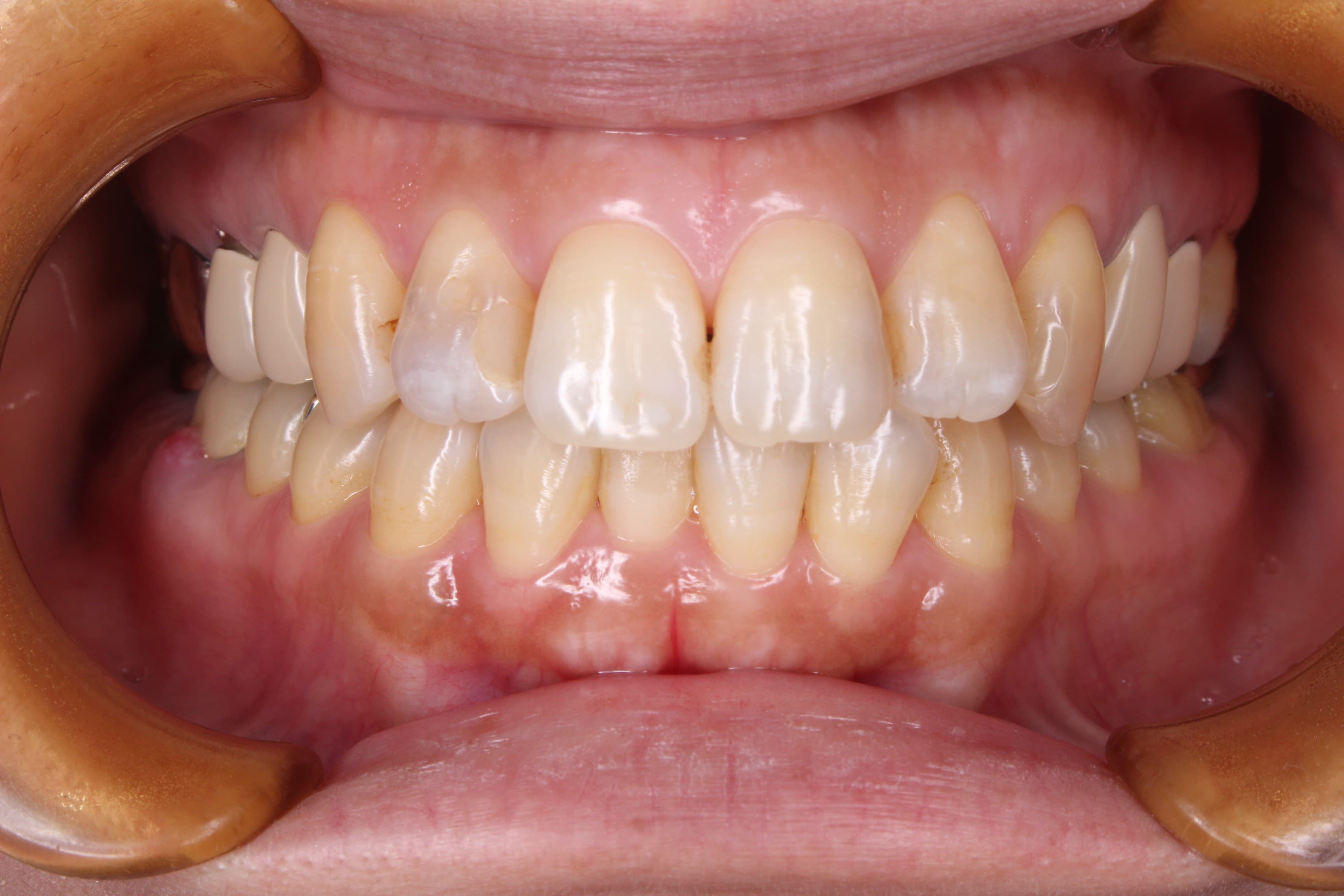
(治療前)


育児と家事と仕事に追われて、左下が5年前から腫れを繰り返しており、我慢できない程痛くなった時に別の歯科医院を受診したところ、抜歯の診断を受けたとのことでした。
相談の結果、他にも色々と治療が必要な場所があり、時間はかかりますが、ご家族の協力の元、専門根管治療で一つずつ治していくことになりました。
根の治療である根管治療をしっかり成功させていくには、インプラント治療と同様に、歯周病が管理された清潔な口腔内環境であることも重要な要素となってきます。
今回も実際に歯周病菌にも感染しており、ご自身でも自覚があった為、歯周病の原因と治療法についてお伝えし歯周専門治療を行うこととしました。
短い時間で効率よく、一番きれいに磨く為に、ご自身が気付いていない磨き残しやすい部分を把握してもらうことがとても重要です。
得意なところは意識しなくてもできるので、その分苦手なところに集中してもらえると良いと思います。
医学的に必要な内容とご自身の認識のズレを修正していくのが、私たちの役割です。
今回、治療に対してご家族の理解と協力が得られたのは、とても素晴らしいことだと思います。
ご自身はしっかりとした治療の必要性を理解していても、ご家族に反対されてしまい治療を断念せざるを得ないケースをよく拝見します。
今回は、病気を治したいという奥様の気持ちに対して、ご主人の理解が得られたことは本当に良かったと思います。
ご家族の方ありがとうございます。
(治療後)

治療後、歯肉の状態もすごく良くなられて、今まで以上に家族の健康にも気を付ける様になったとのことでした。
お母さんは、いつも忙しく自分の気持ちを犠牲にして家族を支えてくれています。
今回は、支えてくれる家族がいたからこそ、良くなったと仰っていました。
病気が良くなったこともそうですが、何より〇〇さんの笑顔が増えた事が私はとてもうれしかったです。
〇〇さん、長い期間おつかれさまでした!
今後は、歯の治療がありますが、歯茎が長期安定できる様にメンテナンスでお待ちしております!
