2022.10.01
適切なメンテナンスの期間を知...
| 診療時間 | 月 | 火 | 水 | 木 | 金 | 土 | 日 |
|---|---|---|---|---|---|---|---|
| 9:30~18:00 | ● | ● | × | ● | ● | ● | × |
症例実績

こんにちは。
南館歯科クリニックの歯科衛生士の山崎です。
今回ご紹介する歯周専門治療のケースは、60代女性の方です。
数年前に他院で治療した前歯のブリッジが、以前から何度か脱離しており、今回の脱離をきっかけにしっかり治そうと決意して、いらっしゃいました。
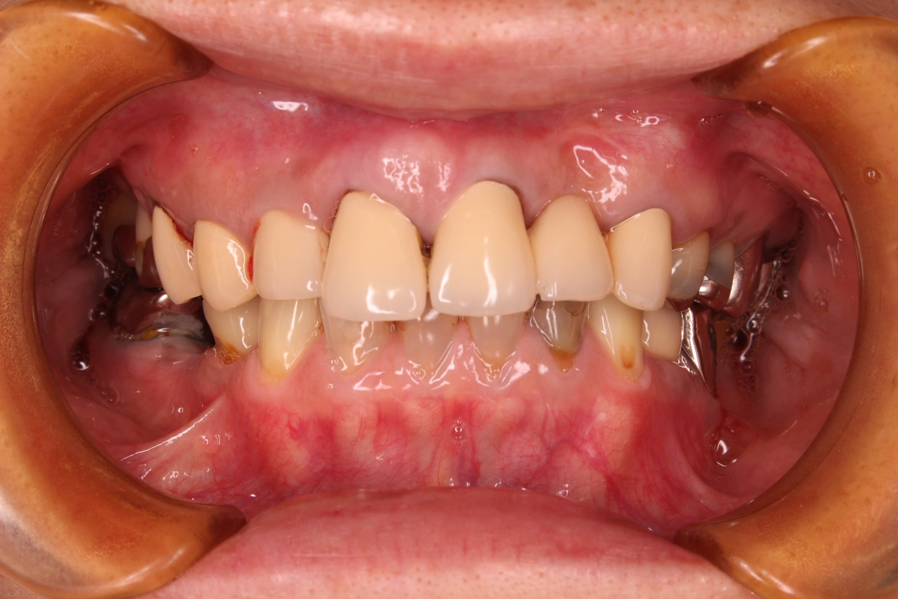
治療前



土台に使用していた歯の状態と、噛み合わにも問題があったのですが、非常に出血が多く、先ずは歯周病を改善する必要がありました。
そもそも歯という組織は、顎の骨の中に埋まって支えられており、その骨の上を歯肉に覆われています。
そして歯周病は、細菌感染により歯を支える骨が溶けてなくなる病気です。
しっかりと治したいと考えた時、歯そのものが抱える問題の解決も必要ですが、歯を支える環境を整備する事も非常に重要なことです。
歯周病治療後です。


歯周専門治療では悪くなる可能性は徹底的に排除していきます。
現在は院長の治療途中です。
安心して生活が出来る様にがんばりましょう!
