2022.10.01
適切なメンテナンスの期間を知...
| 診療時間 | 月 | 火 | 水 | 木 | 金 | 土 | 日 |
|---|---|---|---|---|---|---|---|
| 9:30~18:00 | ● | ● | × | ● | ● | ● | × |
症例実績

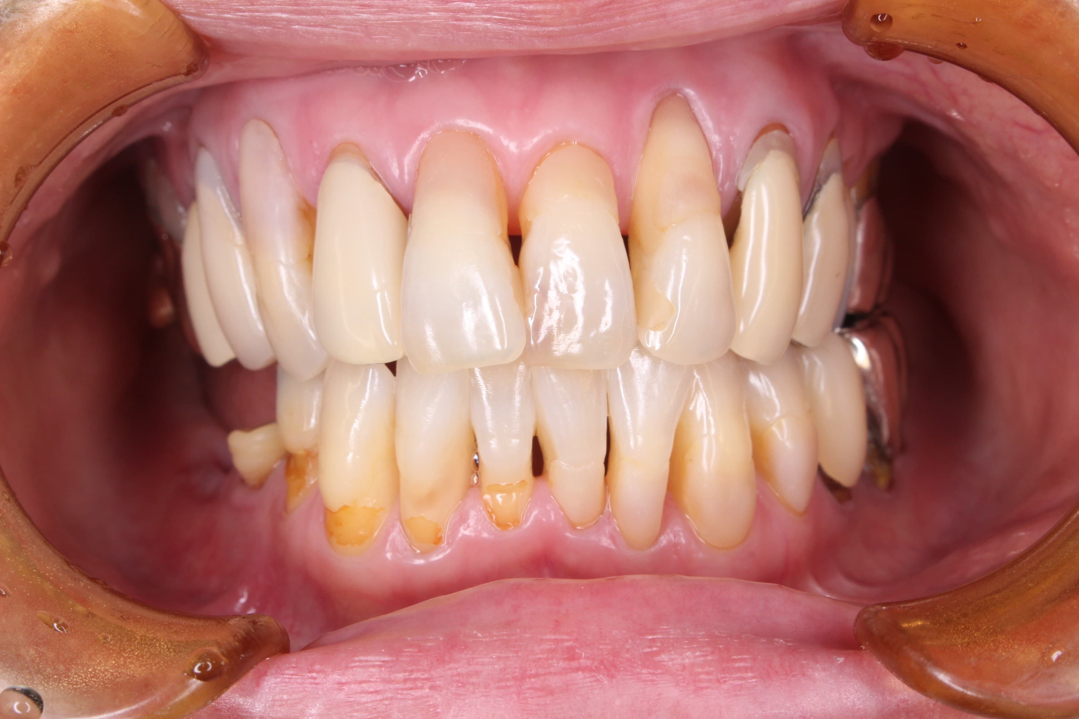
こんにちは。南館歯科クリニックの歯科衛生士の山崎です。
今回ご紹介するのは、長年虫歯の治療で苦労されてきた50代女性の方です。
(歯周専門治療が終了してこれから院長と虫歯の治療を行く予定です)
歯磨きはかなり気を付けて欠かさず歯間ブラシも使っている。歯磨き粉もフッ素入り。定期健診で悪い所があれば、直ぐに治療をしてきた。
なのに、

虫歯の治療が次から次へと必要になる。

この方もそんな一人でした。

虫歯になるには、4つの要素が合わさる必要があります。
歯質の耐酸性、細菌の質、食物の摂取回数、食物の停滞時間等、全ての条件がそろった時に始めて虫歯が発生していきます。
また、宿主因子(私たち個人の持つ抵抗手段)である、唾液の量や質も虫歯を防ぐ上で非常に重要な役割を持っています。
これらの情報から、どこに問題があるのか精査しなければ、いくら出来た虫歯の穴を塞いでも、再発は止められないでしょう。
歯周専門治療は、歯周病への対応だけではありません。
虫歯の再発や新生をしない為の治療でもあります。
そして、この治療が終わっていない状態、つまり自分のリスク管理が出来ていない状態での精密治療(虫歯や根管治療、インプラント治療等)は、沼地に杭を打って、住宅を建てているのと同じだといえます。
再発を防ぎ、健康を維持する為にも
まずは「自分を知る」ことから初めて行きましょう。
