2022.10.01
適切なメンテナンスの期間を知...
| 診療時間 | 月 | 火 | 水 | 木 | 金 | 土 | 日 |
|---|---|---|---|---|---|---|---|
| 9:30~18:00 | ● | ● | × | ● | ● | ● | × |
症例実績

こんにちは。南館歯科クリニックの歯科衛生士の山崎です。
今回ご紹介する歯周専門治療のケースは、40代男性の方です。
実は、4年程前に歯石除去を希望されて来院されたことがありました。
その時から既に歯周病が進行していたのですが、最近になって一層、歯茎が下がり、口臭や出血が強く出てきたそうです。

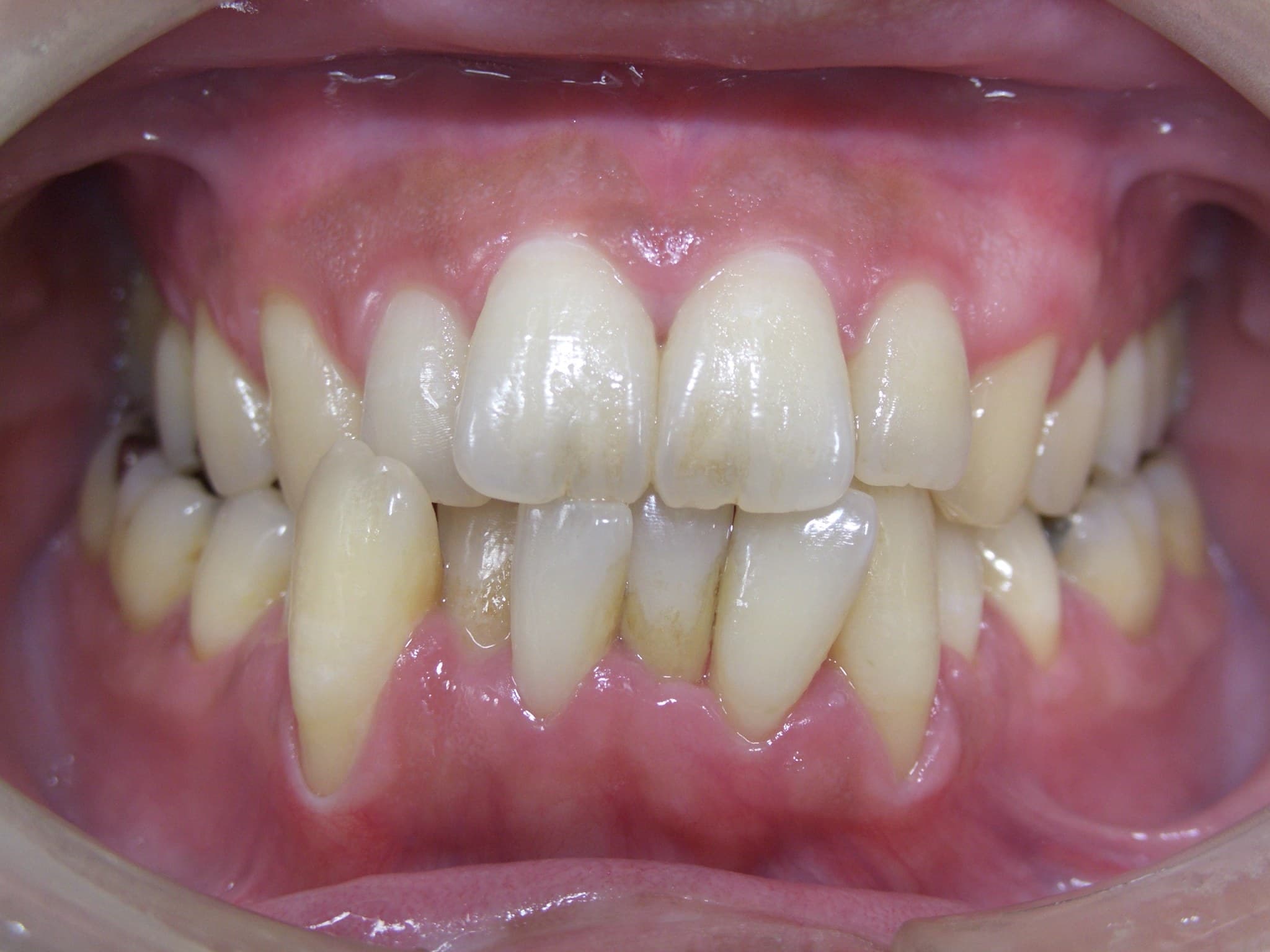
↓治療初期段階での歯茎の上に出ている歯石の除去と、ブラッシング・トレーニングが終了した時の写真になります。

これだけでもかなり腫れが改善していることがわかります。
口臭や出血も改善されてきて、私も安心しています。
歯周病の治療や予防には、ブラッシングが不可欠です。
それは、病気の原因になる細菌は一度除去しても24時間で再付着し、48時間後には有害な状態になるからです。
今回のケースが早期の段階でかなり改善されたのには、ご自宅での徹底したブラッシング(もちろんフロスも使っています)が行えたからです。
「歯医者にいってるから、大丈夫」と思い込みがちですが、
歯科医院でケアをするのは1年365日の中で、多くてもたったの4~12回程度でしょう。
これだけで病気にならないのなら、「恐らく日本人の8割以上が歯周病」にはなっていないと思います。
専門的な機械を使わないと除去できない部分と、歯ブラシなどで除去できる部分との役割分担が、歯周病や虫歯のコントロールをする上でとても重要です。
ずっと自分の歯で、不安なく過ごしていくために、今のお手入れの方法が正しいか、一度確認してみるのも、いいかもしれません。
