2022.10.01
適切なメンテナンスの期間を知...
| 診療時間 | 月 | 火 | 水 | 木 | 金 | 土 | 日 |
|---|---|---|---|---|---|---|---|
| 9:30~18:00 | ● | ● | × | ● | ● | ● | × |
症例実績

こんにちは。
南館歯科クリニックの歯科衛生士の山崎です。
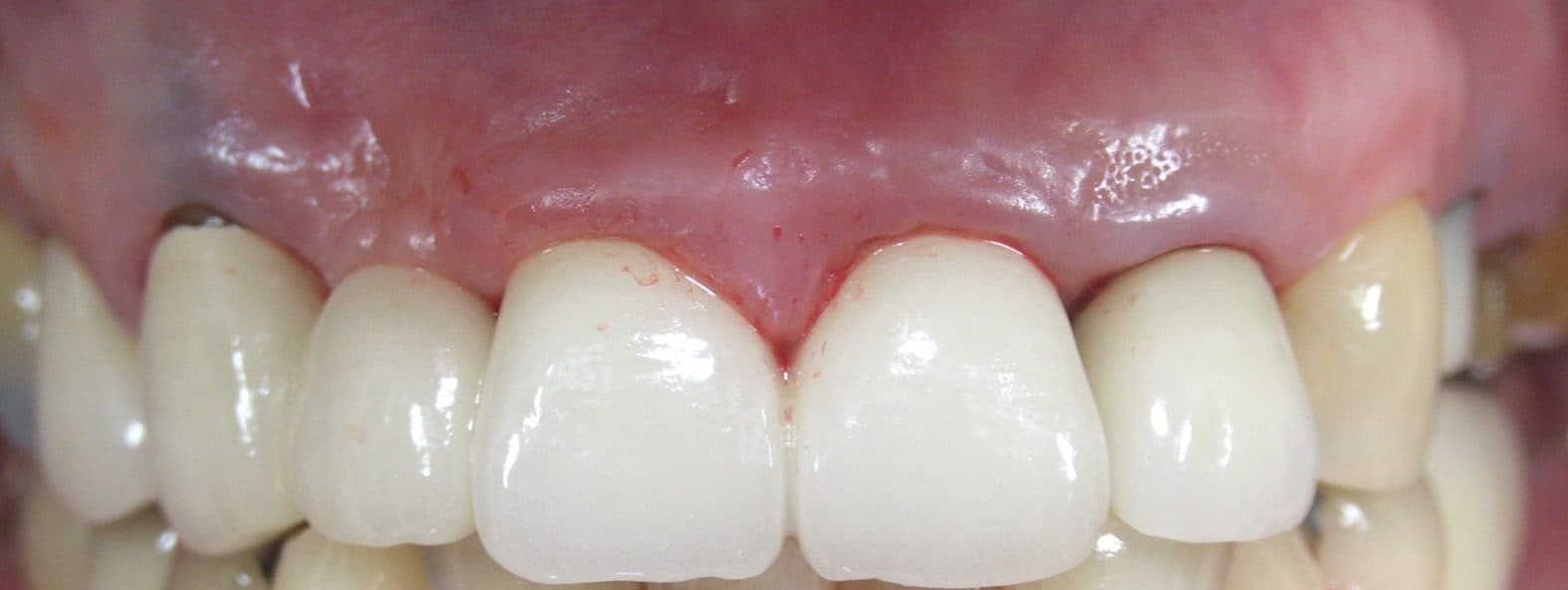
今回ご紹介する症例は、70代女性の方です。

実は以前、歯周治療を他院で行い、その後、上の前歯にきれいな被せ物が装着してありました。
「装着当時はなんともなかったんです。暫くして、歯肉が痛く歯磨きをすると出血するようになりました。」
おっしゃる通り、真っ赤に腫れてとても痛々しい状態ですね。
しかも、前歯だから笑うと見えて気になるし、治った時に歯肉が下がるのもイヤ。
どうにかしたいけど痛いのはイヤ・・・
痛くない治療で、綺麗に治したい。
それも仰る通りだと、私は思います。

痛みの閾値は人それぞれなので、100%言い切れるものではありませんが、治療中は無麻酔でも痛くなかったそうです。
ただ、ご自身で歯間ブラシを入れる時が怖かったと。
それも治療を重ねるうちに、ご自身でも腫れや出血が引いてきていることが分かり、少しずつですが歯間ブラシを使えるようになって、私も安心しました。

今では見違えるほど綺麗に治り、歯間ブラシも歯ブラシも何の心配もなく当てられる様になりました。
心配していた歯肉の退縮も最低限に留まっており、見た目も満足頂いています。
今の状態を続けることで、更にしっかりとした歯肉に戻りますので、出来る範囲でがんばりましょう!
