2022.10.01
適切なメンテナンスの期間を知...
| 診療時間 | 月 | 火 | 水 | 木 | 金 | 土 | 日 |
|---|---|---|---|---|---|---|---|
| 9:30~18:00 | ● | ● | × | ● | ● | ● | × |
症例実績

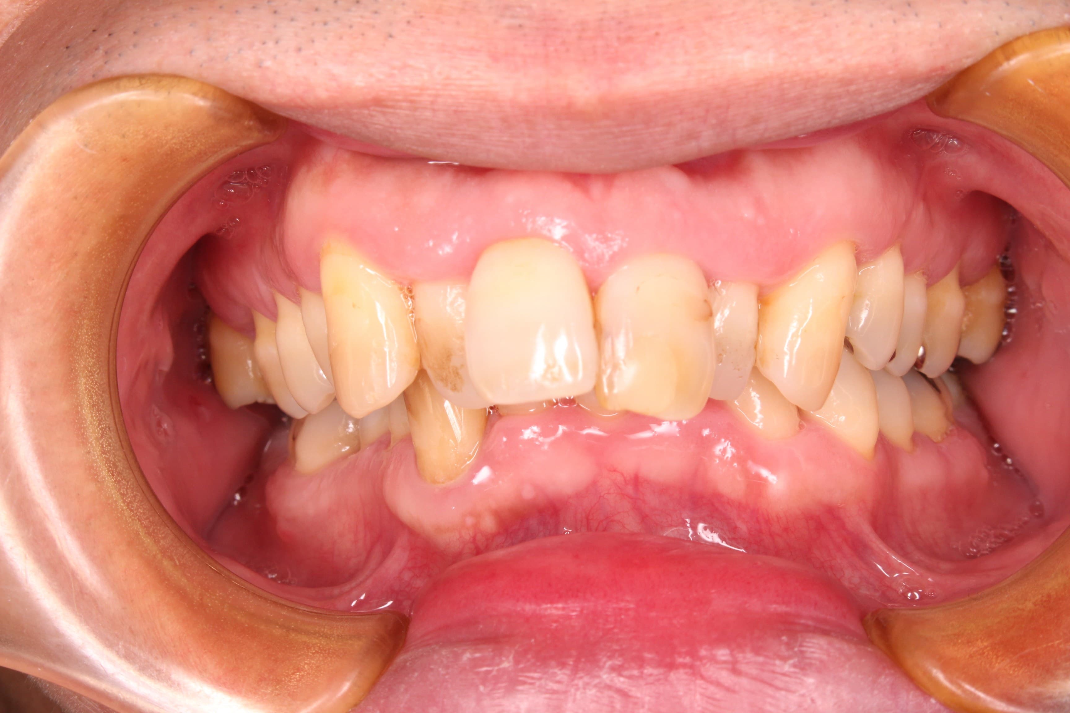
こんにちは。南館歯科クリニックの歯科衛生士の山崎です。
今回ご紹介する歯周専門治療のケースは、30代男性の方です。
小学生のお子さんから口臭を指摘されたり、ご自身でも歯肉が下がって歯周病っぽい事を気にして来院されました。


全体が腫れており、出血も口臭もプラークの付着もしっかりと確認することができます。
休みの日は子供と遊んだり、毎日遅くまで仕事もあり、家事を分担したり。
とても自分に掛ける時間が十分にあるとは言い難い年代なのに、「せっかく治すのなら、しっかりと治療したい」そう仰って歯周専門治療を行うことになりました。


お口の三大疾患である、歯周病、虫歯、口臭は、どれも口腔内にいる細菌が原因の病気です。
そして、これらの病気の原因も解決方法も現代医学では既にはっきりと解っています。
また、これらの病気は非常に稀な疾患であるとも言われています。
私達の行う専門治療では、一時的な回復ではなく、今後の人生を通して健康な状態を維持してもらう為に治療に取り組んでいます。
忙しい中、セルフケアにも積極的に取り組んで頂けたことで大変良い結果を得る事が出来たと思います。
ご本人も、ご家族から口臭を指摘されることも無くなったと喜ばれていました。
せっかく治すなら、しっかり治したいという希望に答える事ができて、本当によかったです。
