2022.10.01
適切なメンテナンスの期間を知...
| 診療時間 | 月 | 火 | 水 | 木 | 金 | 土 | 日 |
|---|---|---|---|---|---|---|---|
| 9:30~18:00 | ● | ● | × | ● | ● | ● | × |
症例実績

こんにちは。
南館歯科クリニックの歯科衛生士の山崎です。
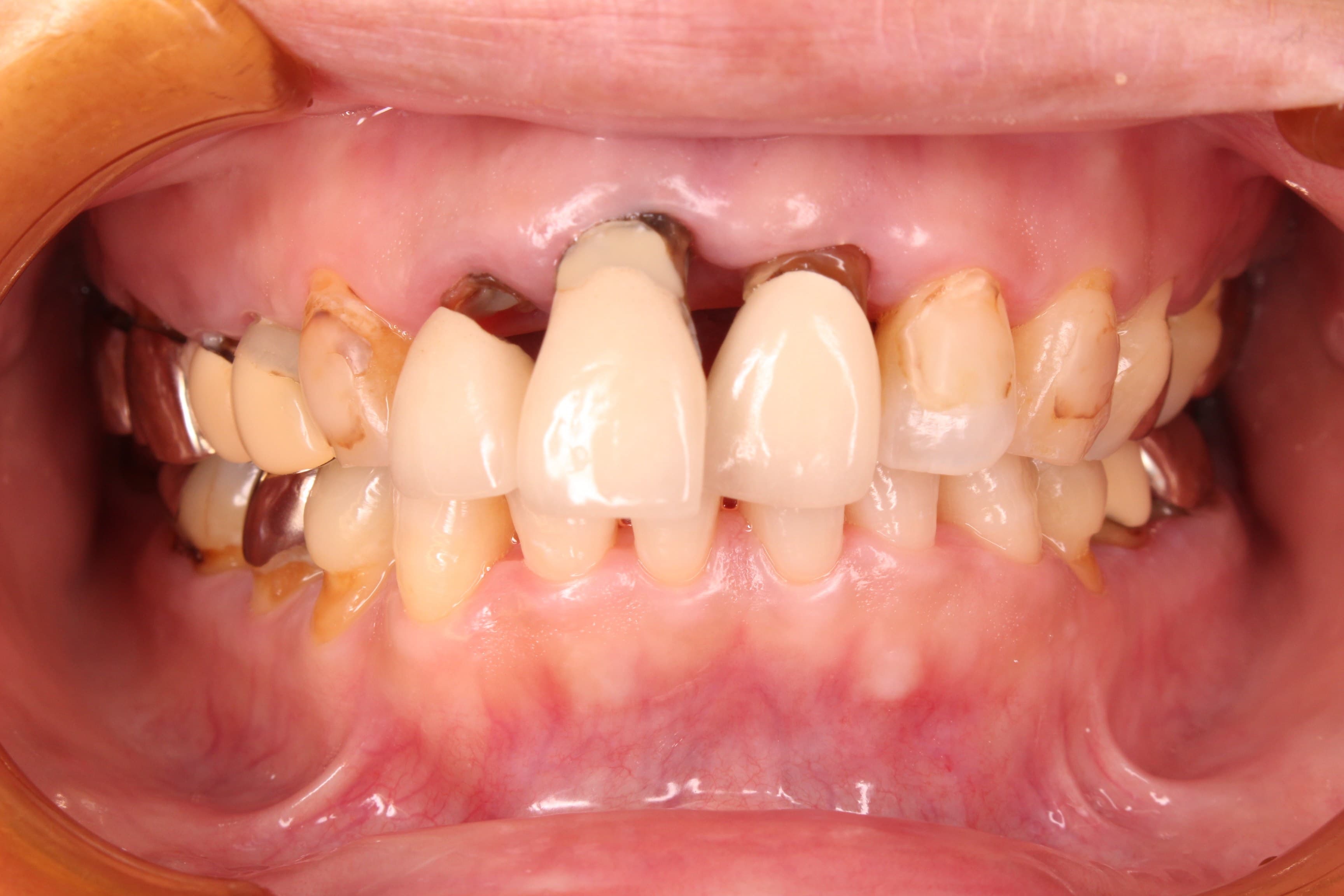
今回ご紹介する歯周専門治療のケースは、50代女性の方です。
虫歯の治療を希望されて来院されました。
全身的な免疫が落ちてくる年代でもあり、
今まで 「家族のため」 「仕事のため」 「子供のため」を優先して、
「自分の身体に時間をかける余裕がなかった」そうです。




来院のきっかけは、
ご自身が体調を崩して入院をしたことで、
内科医から、
「もっと自分の健康に関心を持たなければ、危ない」という指摘を受け、初めて自分の体調が悪かったことに気がついたそうです。
口腔内の状態は、虫歯も大きく進行し、歯周病のコントロールもされておらず、出血やプラーク、歯石等の感染物質も大量に付着していた為、虫歯の治療ができる状態ではありませんでした。
家族や仕事はもちろん大事ですが、お母さんあってこその「家族」なので、これからは自分の健康も大事にするとお約束していただき、歯周専門治療を開始しました。



虫歯の治療はこれからですが、ブラッシングの精度もかなり高くなり、虫歯や歯周病に対する予防の知識もしっかりと習得して頂く事ができました。
歯周専門治療で得た専門知識や最新の情報は、将来治療を繰り返さない為の大きな武器となります。
今後はもっと自分の身体を大事にして、取り戻した健康を維持できるよう最大限サポートさせて頂きます!
