2022.10.01
適切なメンテナンスの期間を知...
| 診療時間 | 月 | 火 | 水 | 木 | 金 | 土 | 日 |
|---|---|---|---|---|---|---|---|
| 9:30~18:00 | ● | ● | × | ● | ● | ● | × |
症例実績

こんにちは。
南館歯科クリニックの歯科衛生士の山崎です。
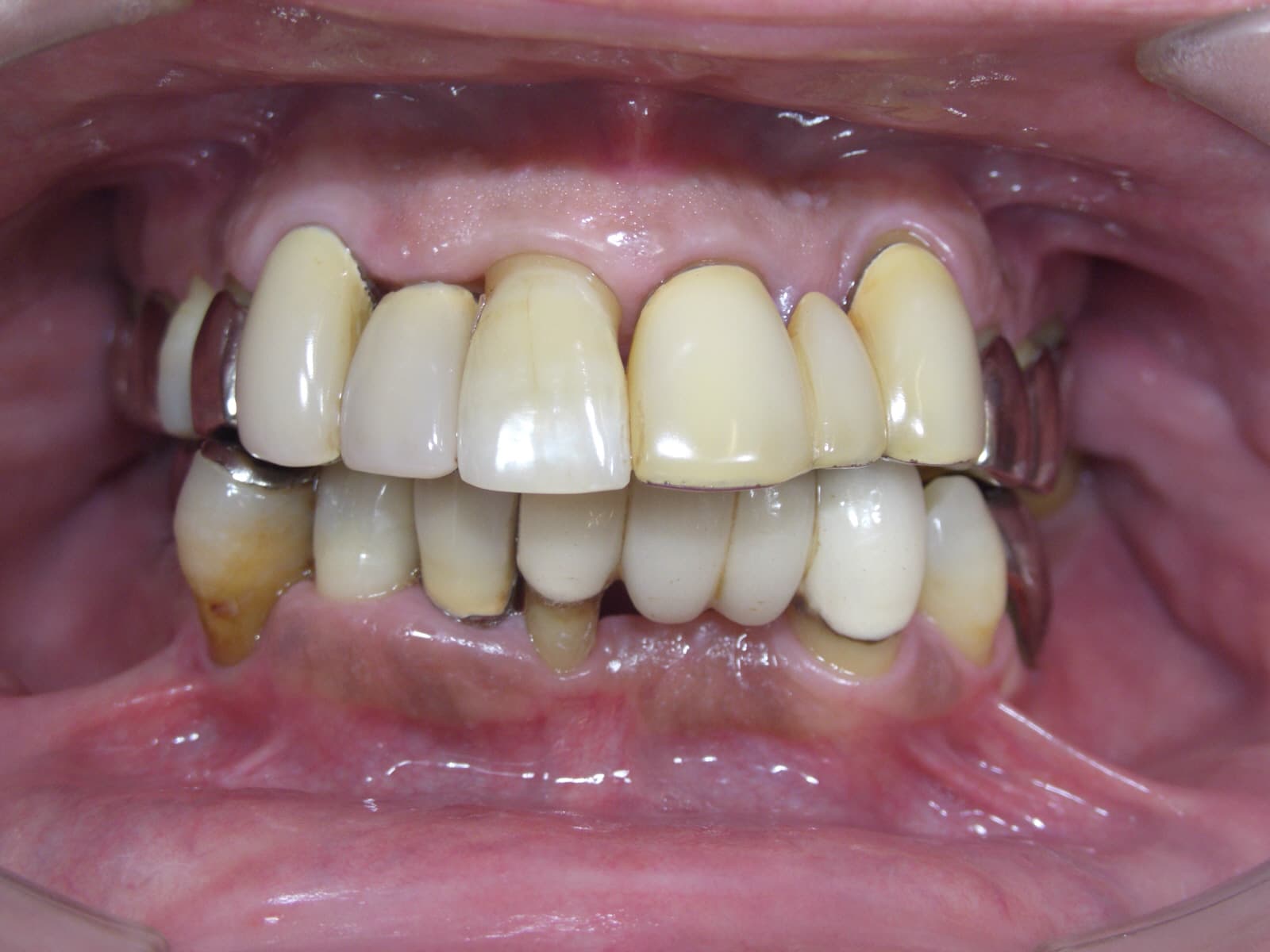
今回ご紹介する歯周治療のケースは、80代男性の方です。


重度の歯周病で、出血、排膿があり、前歯や奥歯がぐらぐらで浮いている状態で来院されました。
ご本人の強い希望で、抜歯はしたくない!とのことでしたので、歯周専門治療を行いながら経過を見ていくことにしました。
まずは、どうしてここまで進行してしまったかを知る為に、歯科ドック(精密検査)と生活習慣の問診を行い、それを基に治療計画を立てていきます。
今回のケースも、歯周病である事は以前から指摘されており、定期的に歯石を取っていたにもかかわらず、歯が動き出したという事が問診で解りました。
歯周病治療は歯石をとるだけでは治らない事をお伝えし、前向きに治療を受けて頂けるようお話させていただきました。
歯周専門治療後は、初診時に比べ歯のグラグラは改善され(残念ですが、完全に動かなくなることはありません)、食事に支障をきたすことはなくなりました。

出血や排膿も無くなり、現在は1カ月に1度のメインテナンスに通って頂いています。
ご本人は大変満足されていましたが、動かなくなったからと言って完全に治ったわけではありません。
これからもご自宅でのケアとメインテナンスで、取り戻した健康を維持していけるよう頑張りましょう!
