2022.10.01
適切なメンテナンスの期間を知...
| 診療時間 | 月 | 火 | 水 | 木 | 金 | 土 | 日 |
|---|---|---|---|---|---|---|---|
| 9:30~18:00 | ● | ● | × | ● | ● | ● | × |
症例実績

こんにちは。
南館歯科クリニックの歯科衛生士の山崎です。
今回ご紹介する歯周専門治療のケースは、20代女性の方です。
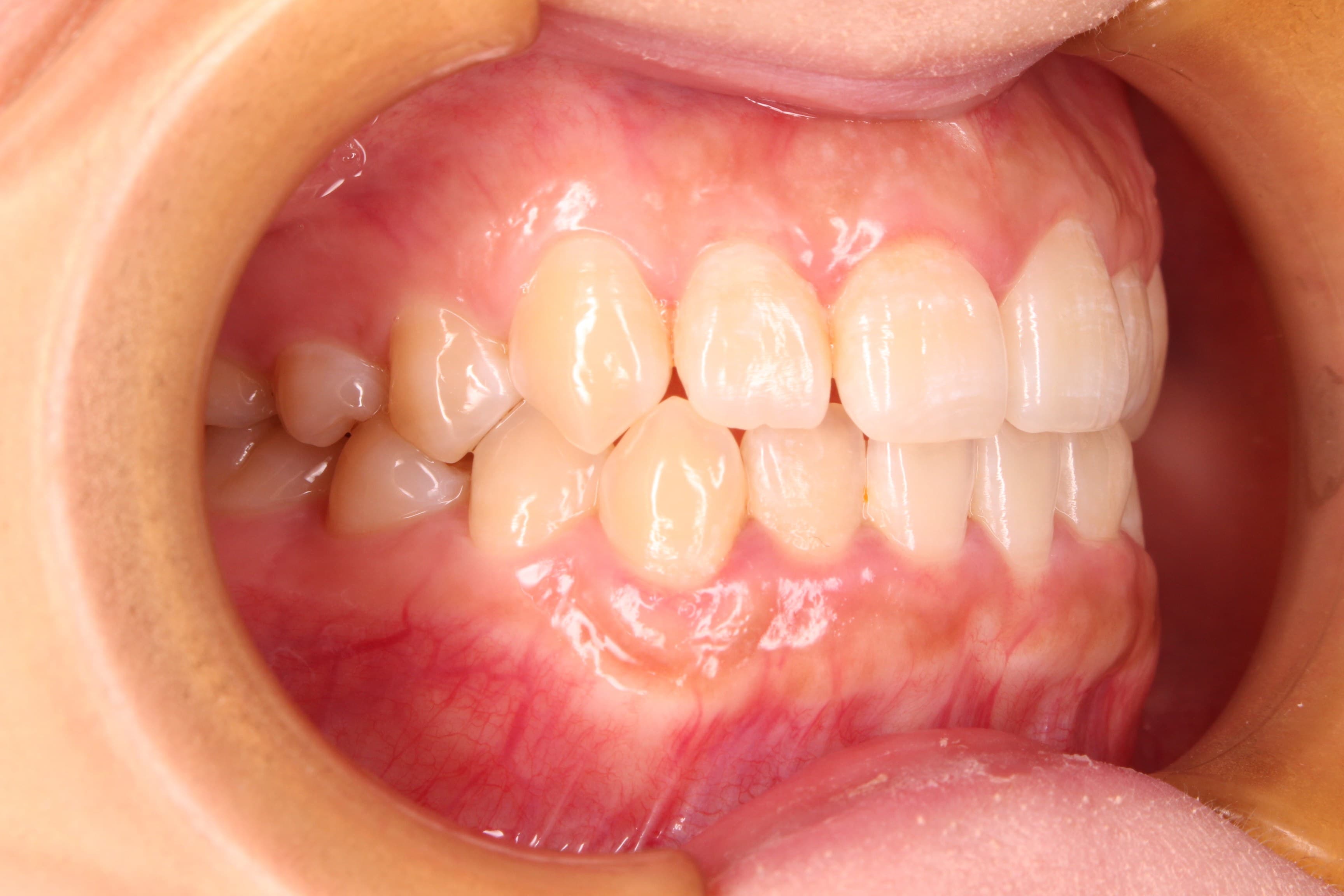
右の親知らずが痛くなったことをきっかけに来院されました。


前歯部分を拡大してみると、歯肉が赤黒くなっているのがわかります。
歯周ポケットの深さや出血の有無を調べる検査時(歯周基本検査)に、全くお痛みは無いにも関わらず、大量出血したことに、大変驚かれていらっしゃいました。


治療後の拡大写真
”サイレントキラー”
歯周病が持つ最大の特徴は、重症化して手遅れになるまで、自覚症状が殆ど現れないという事です。
静かに進行して、気づいた時には抜歯になる・・・決して他人事ではありません。
しかし
治療を適切に行うことで、健康な状態を取り戻すことは出来ます。
治療後も、快適な状態が続くようメインテナンスでサポートさせて頂きますので、これからもよろしくお願いします。
