2022.10.01
適切なメンテナンスの期間を知...
| 診療時間 | 月 | 火 | 水 | 木 | 金 | 土 | 日 |
|---|---|---|---|---|---|---|---|
| 9:30~18:00 | ● | ● | × | ● | ● | ● | × |
症例実績

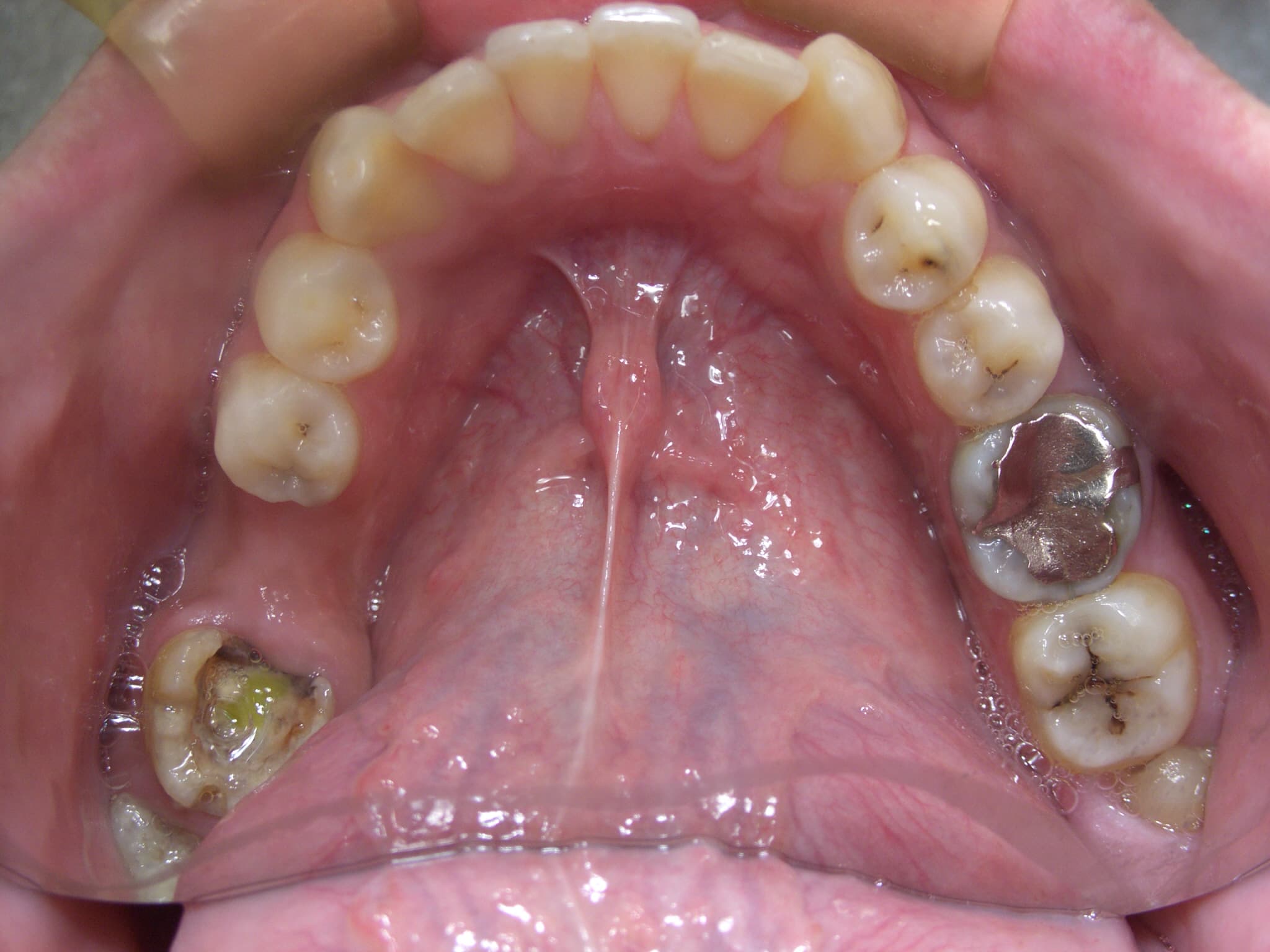
こんにちは。
南館歯科クリニックの歯科衛生士の山崎です。
今回ご紹介する歯周病専門治療のケースは、20代男性の方です。
前歯と奥歯の虫歯の治療を希望されて来院されました。


検査の結果、虫歯のほかに歯周病もある事がわかり、全体的に出血と、プラークも多く認められました。
ご本人は、全くそのことに気づいておらず、大変驚かれていました。

現在はまだ見える範囲の歯石を取り、ご自宅でのお手入れをトレーニングしている途中です。(ライフステージに合わせて少しずつ行っていきます)
口腔内の環境が改善されたことにより、少しお手入れを手抜きすると自分でも口臭やネバネバが気になると仰っていました。
以前では全く気付かなかったことに、敏感に気づける状態になったことは、歯周病を治すうえでとても重要な事になります。
歯周病は、早く気付ければその分回復も早く、治療も成功しやすい病気です。
しばらく歯科医院を受診されていない方は、しっかりと検査をしてご自身の健康状態を確認して頂ければと思います。
