2022.10.01
適切なメンテナンスの期間を知...
| 診療時間 | 月 | 火 | 水 | 木 | 金 | 土 | 日 |
|---|---|---|---|---|---|---|---|
| 9:30~18:00 | ● | ● | × | ● | ● | ● | × |
症例実績

こんにちは。
南館歯科クリニックの歯科衛生士の山崎です
今回ご紹介する歯周治療のケースは、70代女性の方です。
歯周病は中等度で、歯ぐきの腫れや出血(BOP 80%以上)、口臭がありました。
また、被せ物も古くなり歯ぐきとの境目に段差が出来てしまい、2次虫歯も多く確認できました。


カウンセリングでご本人のご希望を伺い
1、歯周病を治したい
2、しっかり治した物を良い状態で長く使う事
3、見た目をキレイにする事
という事に重点を置いて治療を進めることになりました。
しっかりした被せ物を長く持たせることに最も大事なことは、お口の環境や生活の環境が健康である事です。
どうしたら虫歯を繰り返さないのか、
どうしたら歯周病を止める事ができるのか、
歯周病専門治療では、歯科ドックで病気を繰り返す原因を科学的に分析し、その人に合った治療を行っていきます。
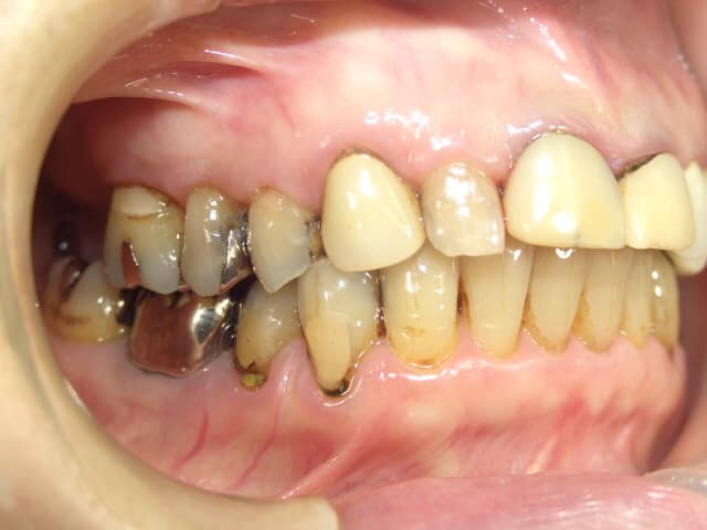
治療終了時です

歯周治療からスタートし、
「PCR(磨き残し)10%以下、BOP(歯肉からの出血)4%以内」を目標としたセルフケアトレーニング、歯周内科、LAD治療、SRPと行っていきました。
治療中は、チェアタイムも一般診療より倍以上長い為とても大変だったと思うのですが、本気で健康を手にしたいと思って頂けていたので、セルフケアも含めてとても真剣に取り組んで頂けたと感じています。
また、お年も召されていた事から、治療の質を保ったままお身体への負担を避ける工夫や、お手入れを効率よく短時間で行う工夫を二人で 相談しながら探していきました。
食事に不安が無く、健康な生活をもう一度手に入れて頂けるようお手伝いすることが、
歯周専門治療や精密治療では可能になると確信しています。
今後は、1カ月に1度のメインテナンスに移行しますが、手に入れた健康を末永く続けていけるよう、一緒にがんばりましょう!
