2022.10.01
適切なメンテナンスの期間を知...
| 診療時間 | 月 | 火 | 水 | 木 | 金 | 土 | 日 |
|---|---|---|---|---|---|---|---|
| 9:30~18:00 | ● | ● | × | ● | ● | ● | × |
症例実績

こんにちは。歯科衛生士の山崎です。
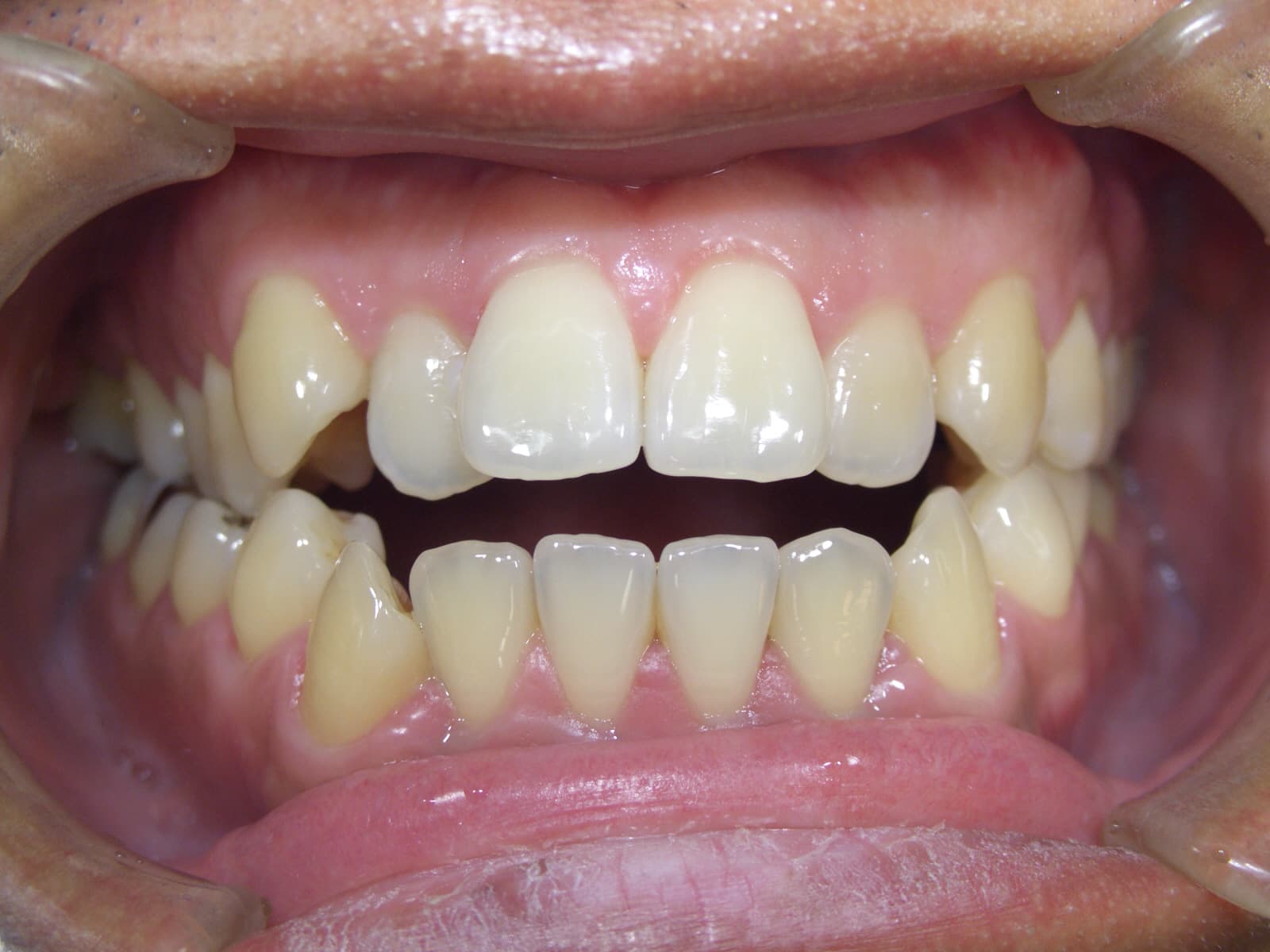
今回は県内の遠方から来院してくださった、20代男性のご紹介です。

来院のきっかけは、テレビを見て自分も歯周病かもしれないと感じたことだったそうです。
自分のお口の健康状態を正確に知ることを強く希望し、歯科ドックを行って精密検査を実施しています。
歯科ドックでは、専用の機械を使い、口臭の強弱を数値化でき、歯周病菌の量や活動力を知ることができます。そして、細菌培養検査で虫歯菌の量や種類を調べることで、個人にとって最善の治療方法を見つけることができます。

上画像が実際の出力画面です。

歯周病専門治療では、歯周病や虫歯の治療と合わせて、口臭対策も行っています。
健康的な美しさを維持する為に、治療後はしっかりとメインテナンスを行います。
○○さん、これからも良い状態を維持できるよう頑張りましょう!
