2022.10.01
適切なメンテナンスの期間を知...
| 診療時間 | 月 | 火 | 水 | 木 | 金 | 土 | 日 |
|---|---|---|---|---|---|---|---|
| 9:30~18:00 | ● | ● | × | ● | ● | ● | × |
症例実績

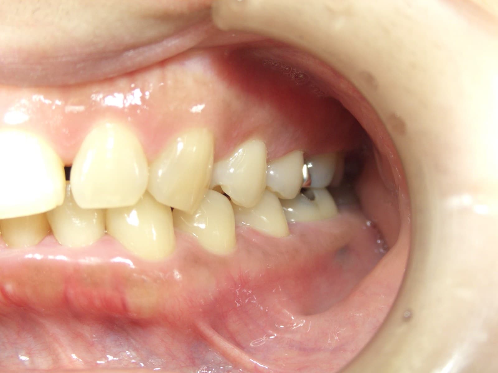
こんにちは。歯科衛生士の山崎です。
歯周病専門治療を受けられた方をご紹介します。

40代女性の方です。
歯肉の腫れ、出血、そして口臭が気になり来院されました。
職業上、大変不規則になり易く、自分の事に時間を使う余裕が殆どなかったそうです。
歯周病専門治療では、カウンセリングをしっかり行い、個人に合った方法で治療を進められるよう計画を立てていきます。
今回は時間が無くても、簡単に効果的に行えるよう対策を立て協力して頂きました。

今後は、健康な状態を続けていくことがとても重要になってきます。
メンテナンスでは、徹底的にきれいにすることはもちろんですが、その時のライフスタイルにあうホームケアの方法を再度ご提案させていただく機会でもあります。
皆さんが手にした健康を、長く維持していただくために私達も最大限のサポートを続けていきます。
一緒にがんばりましょう!
