2022.10.01
適切なメンテナンスの期間を知...
| 診療時間 | 月 | 火 | 水 | 木 | 金 | 土 | 日 |
|---|---|---|---|---|---|---|---|
| 9:30~18:00 | ● | ● | × | ● | ● | ● | × |
症例実績

こんにちは。
南館歯科クリニックの木村です。
左上奥歯の治療を行ったケースをご紹介します。
30代 女性の方です。
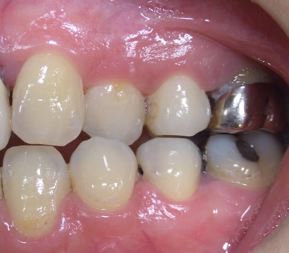
初診の状態です。


金属の被せ物がしてあるのと、セラミック?らしき詰め物がしてあり、
残念ながら、すべて2次虫歯で、痛みもありました。(他にも2次虫歯多数あり。)
「しっかりと治療をしたい」という希望があり、その想いにお応えするためよく相談し、口腔内で起こっている問題にたいして、歯周病には歯周病専門治療、根の病気には専門根管治療、見た目の回復には審美治療という計画で治療を行っていきました。
治療後の状態です。


満足して頂きました。
南館歯科クリニックでは、全ての治療において顕微鏡を使用し、精度の高い治療を行っています。
そのため一回の治療時間がどうしても長くなりますが、長持ちさせるためには、どの工程も妥協ができません。
○○さん
本当に頑張って頂きありがとうございます。
まだ治療はありますが、長い目でみて本当に価値のある治療を提供できるようがんばります。
一緒に頑張りましょう!
